количество статей
7269
Загрузка...
Клинические случаи

Рак толстой кишки при воспалительных заболеваниях кишечника

Н.В. Никитина
Е.А. Белоусова
Е.В. Великанов
С.Г. Терещенко
Е.В. Волчкова
Г.А. Полякова
О.М. Цодикова
Московский областной научно-исследовательский клинический институт им. М.Ф. Владимирского (МОНИКИ), кафедра терапии факультета усовершенствования врачей (ФУВ)
"ЭФФЕКТИВНАЯ ФАРМАКОТЕРАПИЯ. Гастроэнтерология" №4
  • Аннотация
  • Статья
  • Ссылки
Рак толстой кишки (РТК) занимает четвертое место в мире среди всех злокачественных новообразований, при этом ежегодно выявляется около 1 млн новых случаев, а умирают от данного заболевания более 500 000 человек [6]. Среди причин онкологической смертности РТК занимает второе место после рака легкого. 
  • КЛЮЧЕВЫЕ СЛОВА: рак, толстая кишка, онкология, кишечник, Пентаса
Рак толстой кишки (РТК) занимает четвертое место в мире среди всех злокачественных новообразований, при этом ежегодно выявляется около 1 млн новых случаев, а умирают от данного заболевания более 500 000 человек [6]. Среди причин онкологической смертности РТК занимает второе место после рака легкого. 
Таблица. Заболеваемость и смертность от злокачественных новообразований в России в 1999 г. и в период 2008–2009 гг. (на 100 000 населения)
Таблица. Заболеваемость и смертность от злокачественных новообразований в России в 1999 г. и в период 2008–2009 гг. (на 100 000 населения)
Рис. 1. Множественные синхронные опухоли толстой кишки при язвенном колите (МОНИКИ. Больная Х.,  56 лет)
Рис. 1. Множественные синхронные опухоли толстой кишки при язвенном колите (МОНИКИ. Больная Х., 56 лет)
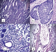
Рис. 2. Гистологическая характеристика множественного синхронного РТК при ЯК (МОНИКИ. Больная Х., 56 лет. Препарат Г.А. Поляковой.
Рис. 2. Гистологическая характеристика множественного синхронного РТК при ЯК (МОНИКИ. Больная Х., 56 лет. Препарат Г.А. Поляковой.
Рис. 3. Кумулятивный риск развития рака толстой кишки при язвенном колите и болезни Крона
Рис. 3. Кумулятивный риск развития рака толстой кишки при язвенном колите и болезни Крона

За последние 10 лет в России отмечен рост заболеваемости и смертности от злокачественных новообразований [5] (табл.).

Ежегодно в России диагностируют более 46 000 новых случаев РТК, при этом на 100 вновь выявленных больных приходится более 70 умерших [1]. Повышенный риск возникновения неоплазии толстой кишки отмечен у больных воспалительными заболеваниями кишечника (ВЗК), при этом РТК у них может встречаться до 10 раз чаще, чем в общей популяции [20, 27]. Заболеваемость РТК, в том числе при язвенном колите (ЯК) и болезни Крона (БК), выше в экономически развитых странах и имеет географические различия, составляя при ЯК 2 случая на 1000 в Дании, 5 на 1000 в США, а при БК – 1,4 в скандинавской популяции и 3,9 в Великобритании и Северной Америке [15, 32]. Существуют различия в заболеваемости среди взрослых и детей: 3 и 6 случаев на 1000 в год соответственно [19]. При БК риск развития РТК колеблется от 2,5 до 4,5, что выше, чем в общей популяции, но несколько ниже, чем у больных ЯК [15]. Смертность от РТК, ассоциированного с ЯК и БК, значительно выше, чем от спорадического колоректального рака, а 5-летняя выживаемость после оперативного вмешательства ниже [3, 35].

Для злокачественных новообразований толстой кишки, развившихся при ВЗК, характерны некоторые особенности: мультицентрический рост, раннее метастазирование, преимущественно низкодифференцированный гистологический тип и высокая инвазивность [3, 12]. Первично-множественные опухоли толстой кишки с мультицентрическим ростом могут возникать одновременно (синхронно) или последовательно (метахронно) (рис. 1).

Метастазирует РТК при ВЗК так же, как и спорадический колоректальный рак, – лимфогенным, гематогенным и трансплантационным путями в лимфатические узлы, печень, мозг, легкие, кости, брюшину, отмечается прорастание в соседние органы (малый таз).

Морфологические варианты РТК при ЯК и БК включают (рис. 2): аденокарциному, слизистый рак, солидный рак, плоскоклеточный рак, недифференцированную форму, скиррозный рак, лимфому.

В качестве причин развития РТК рассматривают хроническое воспаление и длительную терапию препаратами иммуносупрессивной направленности.

Морфогенез РТК достаточно хорошо изучен. Он развивается в результате последовательных изменений: дисплазия/аденомааденокарцинома. Однако механизмы, ответственные за возникновение и накопление в эпителиальной клетке нарушений, изучены фрагментарно. В основе современных представлений о канцерогенезе лежит возможность различных канцерогенных агентов (химических, физических, вирусных, инфекционных) вызывать такие повреждения генома клеток, которые сопровождаются активацией клеточных онкогенов и/или инактивацией антионкогенов. Именно эти гены могут запускать деление клеток, участвовать в регуляции их пролиферации, дифференцировки и запрограммированной гибели – апоптозе. Клеточные онкогены (онкобелки или онкопротеины) кодируют синтез белков, стимулируют пролиферацию и замедляют апоптоз. Антионкогены, или гены-супрессоры рака, наоборот, тормозят пролиферацию клеток, и их потеря может привести к развитию рака [24].

Практически все генные мутации, участвующие в патогенезе спорадического РТК, обнаружены при злокачественной трансформации слизистой оболочки толстой кишки у больных ЯК [25]. В то же время особенностью неоплазии, ассоциированной с ВЗК, является более ранняя, чем при спорадическом РТК, мутация гена p53, приводящая к усилению пролиферативных процессов [7, 28].

Основными независимыми факторами риска РТК при ЯК считают продолжительность заболевания, протяженность воспаления в толстой кишке и первичный склерозирующий холангит (ПСХ) [43]. К дополнительным факторам риска относят начало болезни в раннем возрасте, РТК у родственников и дефицит фолиевой кислоты [41]. К факторам риска РТК при БК, помимо перечисленных выше, относят также хроническую кишечную непроходимость, хронический свищ (особенно параректальный) и, возможно, длительный прием 6-меркаптопурина [28].

В 2001 г. опубликованы результаты анализа 19 исследований риска РТК при ЯК, где указано, что при длительности ЯК 10 лет риск составляет 2%, при 20-летнем стаже заболевания – 8%, при 30-летнем – риск неоплазии возрастает до 18% [19]. Успешное проведение профилактических мероприятий в ряде стран привело к снижению риска развития РТК у больных ВЗК (рис. 3). Риск злокачественной неоплазии у пациентов с длительным течением БК толстой кишки, не подвергшихся оперативному лечению, составил 2,9% при 10-летнем анамнезе заболевании, 5,6% – при 20-летнем, 8,3% – при длительности БК более 30 лет (с увеличением стажа заболевания риск будет возрастать) [15, 17] (рис. 3). Исследование, выполненное в Копенгагене, свидетельствует, что у 70% больных БК при длительности анамнеза более 15 лет после резекции толстой кишки риск РТК не изменился [29].

Доказанным фактом является высокая вероятность злокачественной трансформации слизистой оболочки толстой кишки (СОТК) у пациентов с распространенным колитом: большинство неоплазий развивается у пациентов с тотальным колитом – в 19 раз чаще, чем в общей популяции [41]. Бытует мнение, что при проктите риск РТК наиболее низкий (в 1,5 раза выше, чем в популяции), тогда как при левостороннем поражении толстой кишки частота риска повышается в 4 раза, и он появляется примерно на 10 лет позже по сравнению с панколитом [20]. В то же время имеются сведения о более раннем и частом выявлении РТК и дисплазии при левостороннем поражении толстой кишки [31].

Проблема развития РТК при сочетании ВЗК с первичным склерозирующим холангитом (ПСХ) заслуживает особого внимания [4]. Присоединение ПСХ повышает риск неоплазии на 50%. Отмечена более частая локализация карциномы в правых отделах толстой кишки, при этом обсуждается роль желчных кислот (нарушение желчеобразования и неполноценность состава желчи) в онкогенезе при ПСХ [41]. Кроме того, риск развития РТК сохраняется у пациентов и после трансплантации печени, составляя 1% на человека в год [30].

Наличие случаев РТК у родственников повышает риск развития не только спорадической карциномы толстой кишки, но и является фактором риска неоплазии у больных ВЗК [17]. Семейный анамнез РТК повышает вероятность малигнизации СОТК в 2 и более раз [10, 33].

До настоящего времени дискутируется вопрос о значении раннего возраста начала заболевания в развитии карциномы толстой кишки в случае ВЗК. Утверждение о повышенном риске развития РТК у больных с началом заболевания в раннем возрасте основано на исследованиях, согласно которым колоректальная карцинома обнаруживается у 20% больных ЯК через 10 лет после начала заболевания и у 40% через 35 лет с дебютом заболевания до 15 лет [20].

Положение European Crohn's and Colitis Organisation (ECCO) о риске РТК при ЯК:

  • при длительном течении ЯК риск развития КРР выше по сравнению с общей популяцией (УД 2);
  • при тотальном ЯК риск наиболее высок, при левостороннем ЯК – средний уровень риска, при проктите этот риск не повышен (УД 2);
  • наиболее высокий риск у больных с ранним началом заболевания (дебют в возрасте < 20 лет), а также у больных ЯК, ассоциированным с ПСХ (УД 2);
  • увеличивают риск КРР при ЯК стойкое воспаление и наличие КРР в семейном анамнезе (УД 3).

Дефицит фолиевой кислоты рассматривают как вероятный фактор риска развития спорадического рака толстой кишки и формирования аденоматозных полипов [26]. Фолаты, как эссенциальный кофактор, играют значительную роль в биосинтезе пуринов, что имеет существенное значение в синтезе и репликации ДНК [16]. В клетках неоплазии, где ускорены процессы репликации ДНК и деления клеток, прерывание путей метаболизма фолатов приводит к неэффективному синтезу ДНК и подавлению роста опухоли, чем объясняется терапевтический антиопухолевый эффект ряда антифолатных агентов (например, 5-фторурацила и метотрексата). Недостаток фолатов в нормальных тканях вызывает предрасположенность к неопластической трансформации, а добавление фолатов угнетает развитие опухоли. В ряде исследований установлен повышенный риск развития РТК у больных ЯК в условиях дефицита фолиевой кислоты [22].

Основным критерием злокачественной трансформации при ВЗК является дисплазия железистого эпителия [17]. Обнаружение в СОТК очага дисплазии считается фактором высокого риска РТК и в 43% случаев ассоциируется с наличием инвазивной карциномы [29]. Время, в течение которого дисплазия перерождается в карциному, неизвестно. Выявление дисплазии в условиях хронического воспаления и при наличии воспалительных полипов (псевдополипов) – непростая задача. Для ВЗК характерна высокая кинетика обновления эпителиальных клеток в связи с язвенными дефектами, и существует риск пропустить признаки дисплазии или ранней карциномы в обновляющемся эпителии. Наличие дисплазии должно быть подтверждено как минимум двумя независимыми морфологами в множественных повторных биоптатах из одного и того же участка толстой кишки.

Положение ECCO о наблюдении при ЯК гласит:

  • при контрольной колоноскопии следует выполнять произвольные биопсии (по 4 на каждые 10 см) и прицельные биопсии из любых видимых поражений (УД 2b, СР B);
  • хромоэндоскопия с окрашиванием метиленовым синим или индигокармином для эндоскопистов с соответствующей подготовкой служит альтернативой произвольным био­псиям и превосходит произвольные биопсии по частоте выявления неопластических очагов (УД 1b).

При БК следовать данной рекомендации затруднительно в силу сегментарности поражения толстой кишки, возможного наличия стриктур. Целесообразно выполнять прицельные биопсии из пораженных участков при хромоэндоскопии и эндомикроскопии.

Методы профилактики РТК при воспалительных заболеваниях кишечника

Колэктомия

Низкие показатели риска РТК при ВЗК характерны для населения скандинавских стран и обусловлены, прежде всего, высокой частотой превентивных колэктомий: 23% при 10-летнем анамнезе и 32% при длительности заболевания более 25 лет. В исследовании, выполненном в Копенгагене, низкий риск колоректального рака (RR = 1,1) объясняется также высокой хирургической активностью: колэктомия выполнена у 70% пациентов после 15 лет от начала заболевания [29]. Обнаружение дисплазии высокой степени при ВЗК является более объективным и определенным критерием для решения вопроса о превентивной операции. Тем не менее широко распространено мнение, согласно которому опасность развития РТК даже в случае выявления дисплазии не оправдывает риск осложнений, летальности и социальных последствий радикальных операций [34].

Химиопрофилактика

Перспективной и вероятно экономически выгодной считают медикаментозную профилактику РТК при ВЗК.

Методы химиопрофилактики преследуют следующие цели:

  • регуляция процессов пролиферации и апоптоза в эпителии толстой кишки;
  • регуляция и восстановление пула короткоцепочечных жирных кислот (КЖК) в толстой кишке;
  • поддержание нормального микробиоценоза кишечника.

Регулировать процессы пролиферации и апоптоза можно с помощью препаратов 5-аминосалициловой кислоты (5-АСК). Предположение о возможной эффективности 5-АСК основано на том, что близкие к ней по механизму действия лекарственные средства – салицилаты и другие нестероидные противовоспалительные препараты (НПВП) – ингибируют клеточную пролиферацию и усиливают апоптоз малигнизированных клеток при раке и аденоматозных полипах толстой кишки [9]. Имеются данные о снижении риска колоректальных аденом при применении аспирина в течение 5–10 лет [14]. При применении селективного ингибитора циклооксигеназы-2 целекоксиба в дозе 400 мг/сут в течение 6 месяцев отмечено уменьшение количества и размеров полипов у больных семейным аденоматозным полипозом [40].

В основе антиканцерогенного действия НПВП и аминосалицилатов лежит принцип подавления циклооксигеназного и липооксигеназного путей метаболизма арахидоновой кислоты, синтеза простагландинов и лейкотриенов, ингибирования ядерного фактора κВ (NFκB) и MAP-киназы, снижения экспрессии bcl-2 на эпителиальных клетках и блокады окислительного стресса [9]. Существует предположение, что НПВП тормозят активацию канцерогенов, опосредованно ингибируя рецепторы, связанные с пероксисомами (PPARs) [23]. Аминосалицилаты, используемые как основные препараты для терапии обострений и профилактики рецидивов ВЗК, обладают сходным действием на опухолевые клетки.

Результаты контролируемых исследований демонстрируют влияние месалазина на пролиферацию и апоптоз клеток СОТК [44]. В одном из них отмечена активация апоптоза клеток аденокарциномы толстой кишки при использовании клизм с месалазином в течение 2 недель, при этом на темпы пролиферации препарат не влиял [13]. В другом исследовании при пероральном применении месалазина в дозе 1 г/сут в течение 2 недель у пациентов со спорадическими полипами отмечены как активация апоптоза, так и торможение пролиферации в нормальной слизистой оболочке толстой кишки [37].

Имеются сведения о снижении относительного риска РТК при назначении сульфасалазина у больных ЯК до 0,38 по сравнению с аналогичной по составу группой пациентов, не получавших поддерживающую терапию 5-АСК [21]. В контролируемом клиническом исследовании при длительном приеме месалазина и сульфасалазина у больных ЯК выявлено снижение риска развития РТК на 75–81% по сравнению с контрольной группой [19], при этом сульфасалазин оказался менее эффективным и вызывал существенные побочные эффекты при длительном лечении. Поэтому препаратом выбора для профилактики рецидива ВЗК и предупреждения злокачественной трансформации СОТК считают месалазин. Рекомендуемый длительный прием месалазина в дозе более 1 г/сут способствует снижению пролиферативной активности эпителия толстой кишки и уменьшению вероятности развития РТК при ВЗК [18].

Выбор препарата месалазина как для индукции и поддержания ремиссии при ВЗК, так и для профилактики РТК при этих заболеваниях определяется характеристикой энтеросолюбильного покрытия препарата 5-АСК, уровнем высвобождения активного вещества, протяженностью и локализацией воспалительного процесса. Так, известны три варианта энтеросолюбильных покрытий: эудрагитное (Асакол, Салофальк), акриловое (Месакол) и этилцеллюлозное (Пентаса). С точки зрения противовоспалительного эффекта при ВЗК, особенно при ЯК, согласно положению ЕССО, все месалазины равны по эффективности.

Особенность этилцеллюлозного покрытия Пентасы обеспечивает равномерное высвобождение препарата на всем протяжении желудочно-кишечного тракта, начиная с 12-перстной кишки [7]. Таким образом, Пентаса наравне с другими препаратами месалазина показана для лечения ЯК, терминального илеита и илеоколита при БК, но в случае поражения БК высоких отделов подвздошной, тощей и 12-перстной кишок Пентаса является единственным средством, обеспечивающим лечение высокого очага поражения.

ECCO определило следующее положение о профилактике РТК при ВЗК: иммунопрофилактика соединениями 5-АСК может уменьшать заболеваемость КРР у больных ЯК, и целесообразность ее проведения следует рассматривать у всех больных ЯК (УД 2).

Появились публикации, сообщающие об антинеопластическом действии урсодезоксихолевой кислоты (УДХК). Ее применение ассоциируется с низкой частотой малигнизации СОТК у больных ЯК в сочетании с ПСХ [8, 42]. Механизм действия УДХК в этом случае объясняется снижением в кишечнике содержания гидрофобных желчных кислот, образующихся под влиянием бактерий и обладающих канцерогенными свойствами. Кроме того, УДХК обладает мощным цитопротективным и антипролиферативным потенциалами, стимулирует апоптоз. Получены убедительные данные о снижении частоты дисплазии и карциномы толстой кишки при регулярном приеме 8–15 мг/кг УДХК у больных ЯК с ПСХ [36]. ЕССО рекомендует назначать УДХК больным ЯК с ПСХ для профилактики развития рака толстой кишки (УД 1b).

Существенную роль в регуляции процессов обновления эпителия толстой кишки играют короткоцепочечные жирные кислоты (КЖК), которые помимо многочисленных метаболических эффектов обладают антипролиферативным действием. Данное положение было подтверждено у больных ЯК, которым ректально вводили смесь КЖК и определяли степень пролиферации по индексу PCNA до и после лечения [38]. Установлено, что КЖК и, прежде всего, масляная кислота уменьшают число PCNA-позитивных, то есть пролиферирующих, клеток в эпителии кишечника. Именно масляная кислота считается «ключевым регулятором» пролиферации эпителия толстой кишки, контролирует процессы злокачественной трансформации колоноцитов, защищает клетки эпителия от повреждающего действия канцерогенов [38]. При ВЗК и неоплазиях кишечника наблюдается снижение концентрации масляной кислоты. Пациентам с ВЗК с высоким риском РТК необходимо обеспечивать полноценное содержание масляной кислоты в толстой кишке при помощи использования различных пищевых волокон (пектинов, целлюлозы, гемицеллюлозы) и лекарственных средств на основе КЖК. Пищевые волокна подвергаются в толстой кишке бактериальной ферментации, а конечным продуктом их метаболизма являются КЖК. Таким образом, пищевые волокна следует рассматривать как естественный источник КЖК, которые и обусловливают их антиканцерогенное действие [2]. Эпидемиологический корреляционный анализ показал, что применение высоковолокнистой диеты ассоциируется с низким риском РТК [39], благодаря чему их следует рекомендовать для профилактики колоректальной неоплазии при ВЗК в группах высокого риска.

При пероральном введении масляной кислоты она почти целиком абсорбируется в желудке и тонкой кишке, не достигая толстой кишки в должной концентрации. В настоящее время для профилактики РТК возможно применение средства, в состав которого входят масляная кислота в виде бутирата кальция и инулин. Инулин – хорошо растворимый природный олигосахарид, стимулирующий рост полезной бактериальной флоры, которая способна ферментировать инулин для синтеза эндогенной масляной кислоты. Инулин обладает стимулирующим эффектом на апоптоз кишечного эпителия. С помощью полимерной мультиматриксной системы высвобождение масляной кислоты и инулина происходит непосредственно в толстой кишке.

В настоящее время нет доказательной базы о длительности приема препаратов для профилактики РТК при ВЗК (5-АСК, УДХК, КЖК), но с точки зрения логики прием должен быть длительным, если не пожизненным. Обсуждается возможность применения статинов для лечения и профилактики РТК [11]. В качестве механизмов антиканцерогенного действия этой группы препаратов называют воздействие на апоптоз, снижение клеточной пролиферации, ангиогенеза.

  • КЛЮЧЕВЫЕ СЛОВА: рак, толстая кишка, онкология, кишечник, Пентаса
1. Аксель Е.М., Давыдов М.И., Ушакова Т.И. Злокачественные новообразования желудочно-кишечного тракта: основные статистические показатели и тенденции // Современная онкология. 2003. № 4 (3). С. 141–145.
2. Ардатская М.Д. Клиническое применение пищевых волокон: методическое пособие. М., 2011. 48 с.
3. Воробьев Г.И., Михайлова Т.Л., Костенко Н.В. Достижимы ли удовлетворительные результаты хирургического лечения язвенного колита? // Колопроктология. 2006. № 2. С. 34–43.
4. Григорьева Г.А., Мешалкина Н.Ю. Первичный склерозирующий холангит и воспалительные заболевания кишечника: современное состояние проблемы и собственные наблюдения // Фарматека. 2006. № 12. С. 17–22.
5. Комплексный подход к оказанию онкологической помощи населению Российской Федерации. Доклад Т. Голиковой 10.12.2010 // RUSSCO. 2011. № 2.
6. Рак толстой кишки / Под ред. Дж. Мейерхардта, М. Сандреза. М.: Рид Элсивер, 2009. 185 с.
7. Халиф И.Л., Лоранская И.Д. Воспалительные заболевания кишечника (неспецифический язвенный колит и болезнь Крона): клиника, диагностика и лечение. М.: Миклош, 2004. 88 с.
8. Alberts D.S., Martinez M.E., Hess L.M. et al. Phase III trial of ursodeoxycholic acid to prevent colorectal adenoma reccurence // J. Natl. Cancer. Inst. 2005. Vol. 97. P. 846–853.
9. Allgayer H., Kruis W. Aminosalycilates: potentional antineoplastic action in colon cancer prevention // Scand. J. Gastroenterol. 2002. Vol. 37. № 2. P. 125–131.
10. Askling J., Dickman P.W., Karlen P. et al. Colorectal cancer rates among first – degree relatives of patients with inflammatory bowel disease: a population-based study // Lancet. 2001. Vol. 357. P. 262–266.
11. Bardou M., Barcun A., Martel M. Effect of statin therapy on colorectal cancer // Gut. 2010. Vol. 59. P. 1572–1585.
12. Bayless T.Н.M., Yardley J.H. Риск развития рака толстой кишки при язвенном колите // Гастроэнтерология: толстая кишка. Пер. с англ. / Под ред. Д. Александера-Вильямса, Х.Дж. Биндера. М.: Медицина, 1988. С. 114–133.
13. Bus P., Nagtegaal I., Verspaget H. et al. Mesalazin-induced apoptosis of colorectal cancer: on the verge of a new chemopreventive era? // Aliment. Pharmacol. Ther. 1999. Vol. 13. P. 1397–1402.
14. Bus P., Verspaget H., Lamers C. et al. Chemoprevention of colorectal cancer by non-steroidal antiinflammatory drugs // Scand. J. Gastroenterol. 2000. Vol. 232. P. 101–104.
15. Canavan C., Abrams R.R., Mayberry J. Meta-analysis: colorectal and small bowel cancer risk in patients with Crohn`s disease // Aliment. Pharmacol. Ther. 2006. Vol. 23. P. 1097–1104.
16. Choi S.W., Mason Jb. Folate status: effects on pathway of colorectal carcinogenesis // J. Nutr. 2002. Vol. 132. P. 2413–2485.
17. Eaden J. Review article: colorectal carcinoma and inflammatory bowel disease // Aliment. Pharmacol. Ther. 2004. Vol. 20. № 4. P. 24–30.
18. Eaden J., Abrams K., Ekbom A. et al. Colorectal cancer prevention in ulcerative colitis: a case-control study // Aliment. Pharmacol. Ther. 2000. Vol. 14. P. 145–153.
19. Eaden J., Ahlman H., Hulten I. Cancer risk in extensive ulcerative colitis: a meta-analysis // Gut. 2001. Vol. 48. P. 526–535.
20. Ekbom A., Helmick C., Zak M., Adami H.O. Ulcerative colitis and colorectal cancer. A population-based study // N. Engl. J. Med. 1990. Vol. 323. P. 1228–1233.
21. Ekbom A., Kornfekd D. Sulphasalazine use as a preventive factor for colorectal cancer in ulcerative colitis parients – a review // IBD. 1996. Vol. 2. P. 276–278.
22. Giovannucci E. Epidimiologic studies of folate and colorectal neoplasia: a review // J. Nutr. 2002. Vol. 132. P. 2350–2355.
23. Herfarth H. Chemopreventive effect of aminosalycilates // Inflammatory Bowel Disease – Diagnostic and Therapeutic Strategies. 2007. P. 151–158.
24. Holzmann K., Weis-Klemm M., Klump B. et al. Comparison of flow cytometry and histology with mutational screening for p53 and Ki-ras mutations in surveillance of patients with long-standing ulcerative colitis // Scand. J. Gastroenterol. 2001. Vol. 36. P. 1320–1326.
25. Kern S.E., Redston M., Seymour A.B. et al. Molecular genetic profiles of colitis-associated neoplasm // Gastroenterology. 1994. Vol. 107. P. 420–428.
26. Kim Y.I. Role of folate in colon cancer development and progression // J. Nutr. 2003. Vol. 133. P. 3731–3795.
27. Krok K.L., Lichtenshtein G.R. Colorectal cancer in inflammatory bowel disease // Curr. Opin. Gastroenterol. 2004. Vol. 20. P. 43–48.
28. Lashner B.A. Cancer in inflammatory bowel disease // The clinician`s guide to inflammatory bowel disease / Ed. by Gary R. Lichtenstein. 2003. P. 113–123.
29. Lennard-Jones J.E., Melville D.M., Morson B.C. et al. Precancer findings cancer extensive ulcerative colitis: finding among 401 patients over 22 years // Gut. 1990. Vol. 31. P. 800–806.
30. Loftus E.V., Aguilar H.I., Sandborn W.J. et al. Risk of colorectal neoplasia in patients with primary sclerosing cholangitis and ulcerative colitis following orthotopic liver transplantation // Hepatology. 1998. Vol. 27. № 3. P. 685–690.
31. Lutgens M.W., Vleggaar F.D., Schipper M.E.I. et al. High frequency of early colorectal cancer in inflammatory bowel disease // Gut. 2008. Vol. 57. P. 1246–1251.
32. Munkholm P. Rewiew artickle: the incidence and prevalence of colorectal cancer in inflammatory bowel disease // Aliment. Pharmacol. Ther. 2003. Vol. 18. № 2. P. 1–5.
33. Nuako K.W., Ahlquist D.A., Mahoney D.W. et al. Familial predisposition for colorectal cancer in chronic ulcerative colitis: a case-control study // Gastroenterology. 1998. Vol. 115. P. 1079–1083.
34. Ole H., Frank L. et al. Low colectomy rates in ulcerative colitis in an uncelected european cohort followed for 10 years // Gastroenterol. 2007. Vol. 132. № 2. P. 507–515.
35. Palli D., Trallori G., Saieva C. et al. General and cancer specific mortality of a population based cohort of patients with inflammatory bowel disease: the Florence study // Gut. 1998. Vol. 42. P. 175–179.
36. Pardi D.S. et al. Ursodeoxycholic acid as a chemopreventive agent in patients with ulcerative colitis and primary sclerosing cholangitis // Gastroenterology. 2003. Vol. 124. № 4. P. 889–893.
37. Reinacher S.A., Seidenstiker F., Petrasch S. et al. Mesalazin changes apoptosis and proliferation in normal mucosa of patients with sporadic polyps of the large bowel // Endoscopy. 2000. Vol. 32. P. 245–254.
38. Schpach W., Muller Y.G., Boxberger F. et al. Histological changes in the colonic mucosa following irrigation with chort-chain fatty acid // Gastroenterol. Hepatol. 1997. Vol. 9. P. 163–168.
39. Sengupta S., Tjandra J.J., Gibson P.R. Diatary fiber fnd colorectal neoplasia // Dis. Colon. Rectum. 2001. Vol. 44. P. 1016–1033.
40. Steinbach G., Lynch P., Phillips R. et al. The effect of celecoxib, a cyclooxygenase-2 inhibitor in familial adenomatous polyps // N. Engl. J. Med. 2002. Vol. 342. P. 1946–1952.
41. Tilg H. Cancer in inflammatory bowel disease: frequency and clinical presentation // Strategies of Cancer Prevention in Gastroenterology. Falk workshop. Germany, 2009. P. 87–91.
42. Tung B.Y. et al. Ursodiol use in associated with lower prevalence of colonic neoplasia in patients with ulcerative colitis and primary sclerosing cholangitis // Ann. Intern. Med. 2001. Vol. 134. P. 89–95.
43. Van Hogezand R.A., Eichhorn R.F., Choudry A. et al. Malignancies in inflammatory bowel disease: fact or fiction? // Scand. J. Gastroenterol. 2002. Vol. 37 (236). P. 48–53.
44. Velayos F.S., Terdiman J.P., Walsh J.M. Effect of 5-aminosalicylate use on colorectal cancer and dysplasia risk: a systematic review and metaanalysis of observational studies // Am. J. Gastroenterol. 2005. Vol. 100. № 6. P. 1345–1353.
ИНСТРУМЕНТЫ