количество статей
7376
Загрузка...
Практика

Крупная остеома сосцевидного отростка с нарушением слуха

В.С. Исаченко
С.Ю. Огнетов
С.С. Высоцкая
Санкт-Петербургский научно-исследовательский институт уха, горла, носа и речи
Санкт-Петербургский государственный университет
Ижевская государственная медицинская академия
Адрес для переписки: Вадим Сергеевич Исаченко, v.isachenko@niilor.ru
Для цитирования: Исаченко В.С., Огнетов С.Ю., Высоцкая С.С. Крупная остеома сосцевидного отростка с нарушением слуха. Эффективная фармакотерапия. 2025; 21 (40): 74–77.
DOI 10.33978/2307-3586-2025-21-40-74-77
Эффективная фармакотерапия. 2025. Том 21. № 40. Пульмонология и оториноларингология
  • Аннотация
  • Статья
  • Ссылки
  • English
Цель. Продемонстрировать клинические проявления и хирургический подход к лечению остеомы, локализованной в чешуйчатой части височной кости.
Основные положения. Остеомы представляют собой доброкачественные новообразования, характеризующиеся медленным темпом роста, которые, как правило, развиваются на костной ткани. В височной кости их возникновение наблюдается относительно редко, и они составляют от 0,1 до 1% всех доброкачественных опухолей, поражающих череп. Наиболее частой локализацией остеом в височной кости является наружный слуховой проход. Внеканальные остеомы, расположенные за пределами наружного слухового прохода, встречаются крайне редко, и в медицинской литературе представлено ограниченное количество сообщений о таких случаях.
Заключение. Интерес данного клинического случая заключается в том, что остеомы крайне редко на начальных стадиях развития сопровождаются выраженной симптоматикой. Появление каких-либо жалоб и клинических признаков обусловлено прогрессивным увеличением объема опухолевидного образования, что ведет к кондуктивной потере слуха.
  • КЛЮЧЕВЫЕ СЛОВА: остеома, новообразование, височная кость, наружный слуховой проход, нарушение слуха
Цель. Продемонстрировать клинические проявления и хирургический подход к лечению остеомы, локализованной в чешуйчатой части височной кости.
Основные положения. Остеомы представляют собой доброкачественные новообразования, характеризующиеся медленным темпом роста, которые, как правило, развиваются на костной ткани. В височной кости их возникновение наблюдается относительно редко, и они составляют от 0,1 до 1% всех доброкачественных опухолей, поражающих череп. Наиболее частой локализацией остеом в височной кости является наружный слуховой проход. Внеканальные остеомы, расположенные за пределами наружного слухового прохода, встречаются крайне редко, и в медицинской литературе представлено ограниченное количество сообщений о таких случаях.
Заключение. Интерес данного клинического случая заключается в том, что остеомы крайне редко на начальных стадиях развития сопровождаются выраженной симптоматикой. Появление каких-либо жалоб и клинических признаков обусловлено прогрессивным увеличением объема опухолевидного образования, что ведет к кондуктивной потере слуха.
Рис. 1. Слуховой паспорт больного: AD – правое ухо, AS – левое ухо, СШ (субъективный шум): «+» – наличие, «–» – отсутствие; восприятие ШР (шепотной речи), РР (разговорной речи)
Рис. 1. Слуховой паспорт больного: AD – правое ухо, AS – левое ухо, СШ (субъективный шум): «+» – наличие, «–» – отсутствие; восприятие ШР (шепотной речи), РР (разговорной речи)
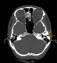
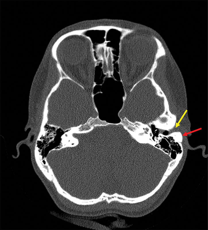
Рис. 2. Данные компьютерной томографии височных костей пациентки Ш.: сосцевидные отростки пневматического типа строения, барабанная полость и антрум свободны, красная стрелка указывает на новообразование сосцевидного отростка
Рис. 2. Данные компьютерной томографии височных костей пациентки Ш.: сосцевидные отростки пневматического типа строения, барабанная полость и антрум свободны, красная стрелка указывает на новообразование сосцевидного отростка
Рис. 3. Этап операции: обнажена костная стенка черепа, лоскут кожи и надкостницы фиксирован, визуализирована остеома
Рис. 3. Этап операции: обнажена костная стенка черепа, лоскут кожи и надкостницы фиксирован, визуализирована остеома
Рис. 4. Этап операции: доброкачественное новообразование удалено, костное ложе опухоли обработано
Рис. 4. Этап операции: доброкачественное новообразование удалено, костное ложе опухоли обработано
Рис. 5. Компактная костная ткань окрашена красным цветом (гистологический материал № 2919, увеличение × 100, окраска гематоксилином и эозином после предварительной декальцинации)
Рис. 5. Компактная костная ткань окрашена красным цветом (гистологический материал № 2919, увеличение × 100, окраска гематоксилином и эозином после предварительной декальцинации)

Введение

Опухоли уха, как и все новообразования, делятся на доброкачественные и злокачественные. К доброкачественным опухолям уха относятся остеомы височной кости. Остеома – это доброкачественная, медленно растущая мезенхимальная остеогенная опухоль, состоящая из хорошо дифференцированной костной ткани [1]. Остеомы височной кости встречаются редко, составляя 0,1–1% всех доброкачественных опухолей черепа [2]. К 2022 году в медицинской литературе было описано менее 200 клинических случаев остеом височной кости [3]. Остеомы практически бессимптомны до достижения критического размера [4].

В зарубежной научной литературе приводятся данные, что остеомы височной кости чаще встречаются у мужчин (соотношение мужчин и женщин – 1,5/1), средний возраст которых составляет 50 лет [1, 5]. Наиболее распространенным местом возникновения остеом в височной кости является наружный слуховой проход. Экстраканальная локализация встречается значительно реже. Сосцевидный отросток занимает второе место по частоте встречаемости данной патологии [6]. Еще более редко остеома височной кости локализуется во внутреннем слуховом проходе, на верхушке каменистой кости, в среднем ухе и суставной ямке [7]. В случае внутриканального расположения опухоли необходимо проводить дифференциальный диагноз с экзофитами [8].

Впервые остеомы сосцевидного отростка описал в литературе А. Politzer в 1887 году [9]. Считается, что остеомы возникают из предкостной соединительной ткани и развиваются вторично под действием раздражителей. В качестве этиологических факторов в научной литературе указывают травму, предыдущие хирургические вмешательства, лучевую терапию, хронические инфекции и гормональные нарушения, связанные с дисфункцией гипофиза [10]. При наличии множественных остеом следует рассмотреть синдром Гарднера, который является аутосомно-доминантным наследственным заболеванием, протекающим с липомами, колоректальными полипами с риском злокачественной дегенерации, множественными остеомами и подкожными фибромами. В случае подозрения следует провести колоноскопию [11]. В нашем клиническом случае эти этиологические факторы не были обнаружены.

Гистологически остеомы можно классифицировать как компактную (остеоидную), губчатую (спонгиозную) и смешанную формы [12], причем первая является наиболее распространенной [2, 13].

Клинически остеомы височной кости в основном протекают бессимптомно и проявляются в виде безболезненных медленно растущих опухолей [14]. Согласно данным клинических исследований, средняя скорость роста остеом составляет 1,61 мм (0,44–6,0 мм) в год [12, 15]. Симптомы зависят от локализации, размера опухоли и местного распространения. Когда остеомы возникают в плоской части височной кости, пациенты обычно обращаются за косметической помощью. При локализации остеомы во внутреннем слуховом проходе могут сдавливаться седьмой и восьмой черепно-мозговые нервы, проявляясь параличом лицевого нерва и сенсоневральной тугоухостью. Остеомы, зоной роста которых является наружный слуховой проход, обычно односторонние, одиночные и ножкообразные, возникающие из-за барабанно-сосцевидного шва на костно-хрящевом соединении. Они медленно растут и протекают бессимптомно, но могут вызывать периодические выделения из ушей, холестеатому наружного слухового прохода и кондуктивную потерю слуха при значительной обструкции канала [1].

Клинический случай

Пациентка Ш., 2000 года рождения, поступила в ЛОР-отделение БУЗ УР «1 РКБ МЗ УР» (Ижевск) 05.03.2024 г. в плановом порядке с жалобами на сужение наружного слухового прохода левого уха, снижение слуха на левое ухо. Жалобы отмечает на протяжении 1,5–2 лет. В начале заболевания отмечала сужение входа в наружный слуховой проход левого уха. За 4–5 месяцев до госпитализации началось снижение слуха на левое ухо, в связи с чем пациентка обратилась к оториноларингологу по месту жительства.

Локальный статус. Правое ухо: сосцевидный отросток – без особенностей, наружный слуховой проход чистый, барабанная перепонка серая, целая. Левое ухо: сосцевидный отросток – на границе со входом в наружный слуховой проход пальпируется образование костной плотности диаметром около 1,5 см; наружный слуховой проход резко сужен в области входа, барабанная перепонка не обозрима.

Другие лор-органы без патологии.

Аудиометрия от 06.02.2024 г. Кондуктивная тугоухость на левое ухо I степени (рис. 1).

Заключение по данным спиральной компьютерной томографии (СКТ) височных костей от 03.10.2023 г. Левое ухо: сосцевидный отросток – на границе со входом в наружном слуховом проходе визуализируется образование костной плотности, овальной формы, размером 2 на 1,5 см; барабанная полость без патологии (рис. 2).

Хирургическое вмешательство под эндотрахеальным наркозом выполнено 06.03.2024 г. Под контролем операционного микроскопа произведен разрез мягких тканей заушной области слева, отступая около 2–3 мм от проекции опухоли. Тупо и остро новообразование выделено от мягких тканей. Новообразование костной плотности (рис. 3). Опухоль отделена от сосцевидного отростка бормашиной и долотами. Материал отправлен на гистологическое исследование. Костное ложе опухоли было обработано борами до здоровой костной ткани для предотвращения рецидива (рис. 4). Затем осмотрен наружный слуховой проход, который заполнен серными массами. После туалета уха электроотсосом отмечено, что прорастания новообразования в наружный слуховой проход нет. Барабанная перепонка серая, целая, контурирует. Разрез ушит рассасывающимся шовным материалом. Произведена тампонада комочками гемостатической губки. Повязка на заушную рану.

Послеоперационный период протекал без особенностей. Пациентка выписана домой на пятые сутки. На седьмые сутки после операции швы с послеоперационной раны сняты, тампон из наружного слухового прохода удален. На аудиометрии от 13.03.2024 г. – нормограмма.

Заключение гистологического исследования № 2919 от 14.03.2024 г.: компактная остеома (рис. 5).

Заключение

Обзор литературы показал, что остеомы редко встречаются в височной кости и в начале заболевания протекают бессимптомно. Жалобы и клинические проявления возникают при увеличении размеров опухоли. В нашем клиническом случае интерес представляет тот факт, что зона первоначального роста новообразования – сосцевидный отросток, при этом направление роста происходило в сторону входа в наружный слуховой проход, что привело к нарушению слуха по кондуктивному типу.

  • КЛЮЧЕВЫЕ СЛОВА: остеома, новообразование, височная кость, наружный слуховой проход, нарушение слуха
1. Varghese S.S., Kumar N., Paul P.A.M., et al. Osteoma of the temporal bone squama: a case report and review of literature. Egypt J. Otolaryngol. 2023; 39: 129.
2. Borissova I.B., Venturin J.S., Claro-Woodruff W.I., Shintaku W.H. Mastoid osteoma: A rare incidental finding in an orthodontic patient. Imaging Sci. Dent. 2020; 50 (4): 347–351.
3. Donati G., Redaelli de Zinis L.O. Long-term surgical results of cortical mastoid bone osteomas. Audiol. Res. 2022; 12 (3): 290–296.
4. Фернандо Д., Шпотин В., Долотказин С. Крупные остеомы лобной и височной костей. Врач. 2015; 10: 61–63.
5. Larrea-Oyarbide N., Valmaseda-Castellón E., Berini-Aytés L., Gay-Escoda C. Osteomas of the craniofacial region. Review of 106 cases. J. Oral. Pathol. Med. 2008; 37 (1): 38–42.
6. Park S.J., Kim Y.H. A case of giant osteoma developed from the mastoid cortical bone. Korean J. Audiol. 2012; 16 (2): 95–98.
7. Kandakure V.T., Lahane V.J., Mishra S. Osteoma of mastoid bone; a rare presentation: case report. Indian J. Otolaryngol. Head Neck Surg. 2019; 71 (Suppl. 2): 1030–1032.
8. Стожкова И.В., Пчеленок Е.В., Косяков С.Я. Остеома наружного слухового прохода, граничащая с клетками сосцевидного отростка: клинический случай. Folia Otorhinolaryngologiae et Pathologiae Respiratoriae. 2018; 24 (4): 85–90.
9. Karataş A., Cebi I.T., Yanık T., Koçak A., Selçuk T. Osteoma originating from mastoid cortex. Turk. Arch. Otorhinolaryngol. 2017; 55 (1): 48–50.
10. Tran L.P., Grundfast K.M., Selesnick S.H. Benign lesions of the external auditory canal. Otolaryngol. Clin. North Am. 1996; 29 (5): 807–825.
11. El Fakiri M., El Bakkouri W., Halimi C., et al. Mastoid osteoma: report of two cases. Eur. Ann. Otorhinolaryngol. Head Neck Dis. 2011; 128 (5): 266–268.
12. Семенов Ф.В., Резников Р.В., Исмелова А.А. Остеома сосцевидного отростка. Вестник оториноларингологии. 2023; 88 (6): 97–99.
13. Гюсан А.О., Ламкова А.Х. Гигантская остеома сосцевидного отростка височной кости. Вестник оториноларингологии. 2014; (4): 52–54.
14. Lee J., Han K., Kim C.H. Rare tumors presenting as a mastoid mass. Case Rep. Otolaryngol. 2020: 8985730.
15. Буданов Е.Г., Нестерова К.И., Кротов Ю.А., Одарченко И.Н. Остеомы височной кости в отиатрической практике. Российская оториноларингология. Приложение. 2008; 2: 365–369.
Large Mastoid Osteoma with Hearing Impairment 

V.S. Isachenko, PhD, Ass. Prof., S.Yu. Ognetov, PhD, S.S. Vysockaya

Saint-Petersburg Scientific Research Institute of Ear, Throat, Nose and Speech
St. Petersburg State University Medical Institute
Izhevsk State Medical Academy

Contact person: Vadim S. Isachenko, v.isachenko@niilor.ru

Aim. To demonstrate the clinical manifestations and surgical approach to the treatment of osteoma localized in the scaly part of the temporal bone.
Key points. Osteomas are benign neoplasms characterized by a slow growth rate, which, as a rule, develop on bone tissue. In the temporal bone, their occurrence is relatively rare, and they account for 0.1% to 1% of all benign tumors affecting the skull. The most common localization of osteomas in the temporal bone is the external auditory canal. Extracanal osteomas located outside the external auditory canal are extremely rare, and there are limited reports of such cases in the medical literature.
Conclusion. The interest of this clinical case lies in the fact that osteomas are extremely rare in the initial stages of development and are accompanied by pronounced symptoms. The appearance of any complaints and clinical signs is due to a progressive increase in the volume of tumor formation, which led to the development of conductive hearing loss.
ИНСТРУМЕНТЫ