количество статей
7376
Загрузка...
Обзоры

Роль озонотерапии в лечении хронических дерматозов, ассоциированных с COVID-19 инфекцией

О.Ю. Олисова
Л.О. Севергина
Д.М. Мартыненко
Е.А. Коган
Т.А. Демура
Первый Московский государственный медицинский университет им. И.М. Сеченова (Сеченовский Университет)
Адрес для переписки: Ольга Юрьевна Олисова, olisovaolga@mail.ru
Для цитирования: Олисова О.Ю., Севергина Л.О., Мартыненко Д.М. и др. Роль озонотерапии в лечении хронических дерматозов, ассоциированных с COVID-19 инфекцией. Эффективная фармакотерапия. 2025; 21 (30): 20–28.
DOI 10.33978/2307-3586-2025-21-30-20-28
Эффективная фармакотерапия. 2025.Том 21. № 30. Дерматовенерология и дерматокосметология
  • Аннотация
  • Статья
  • Ссылки
  • English
Коронавирусная инфекция имеет сложный патогенез, обусловленный развитием иммуновоспалительных реакций, эндотелиопатии, гиперактивности коагуляционного каскада, приводящих к развитию микро- и макротромбозов, гипоксии тканей. Озонотерапия стала перспективным методом лечения коронавирусной инфекции благодаря ее влиянию на интенсивность кровотока в капиллярах и снабжения клеток кислородом. Озонотерапия также широко применяется в дерматологической практике при лечении псориаза, атопического дерматита, пузырчатки, акне и ряда других заболеваний, при этом она безопасна и не вызывает тяжелых побочных эффектов. Однако неизученной остается роль озонотерапии у пациентов с кожными заболеваниями, обострившимися или манифестировавшими на фоне перенесенной коронавирусной инфекции, что стало поводом для проведения данного исследования. 
Цель исследования – оценить эффективность применения озонотерапии при COVID-19-ассоциированных дерматозах.
Материал и методы. Проведено проспективное исследование с участием 92 пациентов, у которых в течение 12 недель с момента заражения COVID-19 отмечались обострение или дебют хронических кожных заболеваний. В исследование были включены пациенты со следующими дерматозами: псориаз – 44 (47,8%), атопический дерматит – 6 (6,5%), экзема – 3 (3,3%), пузырчатка – 4 (4,3%), васкулит – 6 (6,5%), розацеа – 5 (5,4%), кольцевидная гранулема – 4 (4,3%), очаговая склеродермия – 3 (3,3%), многоформная эритема – 2 (2,2%), пиодермия – 2 (2,2%), болезнь Девержи – 2 (2,2%), гнездная алопеция – 2 (2,2%), красный плоский лишай – 2 (2,2%), крапивница – 1 (1,1%), гангренозная пиодермия – 1 (1,1%), болезнь Дарье – 1 (1,1%), андрогенетическая алопеция – 1 (1,1%), липоидный некробиоз – 1 (1,1%), панникулит – 1 (1,1%), парапсориаз – 1 (1,1%) случай. Инцизионная биопсия кожи для морфологического, а также иммуногистохимического исследований с использованием антител к белкам SARS-CoV-2, поликлональных антител от компании GeneTex к шиповидному белку и нуклеокапсиду, была проведена 39 пациентам. Наряду со стандартной комплексной терапией, согласно клиническим рекомендациям, дополнительно озонотерапию получали 22 пациента, из которых с псориазом – 11 (11,9%), атопическим дерматитом – 2 (2,2%), пузырчаткой – 2 (2,2%), очаговой склеродермией – 1 (1,1%), кольцевидной гранулемой – 1 (1,1%), розацеа – 2 (2,2%) человека. Только стандартную комплексную терапию, согласно клиническим рекомендациям, получали 70 пациентов. При проведении озонотерапии применяли методику внутривенного введения озонированного физиологического раствора с концентрацией озона 2 мг на 200 мл физиологического раствора. Процедуры выполняли три раза в неделю, курс лечения – пять процедур. Сбор и систематизацию данных проводили в пакете Microsoft Excel (Microsoft, США), обработку результатов исследования – в программе IBM SPSS Statistics 27.0 (StatSoft Inc., США), корреляционный анализ – в программном обеспечении JASP (свободное), результаты считали статистически значимыми при р < 0,05.
Результаты. Озонотерапия является эффективным и безопасным методом лечения с минимальными противопоказаниями и обладает хорошей переносимостью у пациентов с дерматозами, ассоциированными с коронавирусной инфекцией. В проведенном исследовании с участием 92 пациентов, 22 из которых получали дополнительно со стандартным лечением озонотерапию, была показана высокая терапевтическая эффективность методики с регрессом 55–80% высыпаний в течение двух недель. Все пациенты переносили озонотерапию без побочных эффектов и нежелательных реакций, которые бы требовали ее отмены или коррекции лечения. 
Заключение. Включение озонотерапии в схемы лечения пациентов с различными COVID-19-ассоциированными дерматозами приводит к регрессу до 80% высыпаний, значительно улучшая состояние пациентов. Средние значения регресса высыпаний в группах с наличием/отсутствием лечения озоном статистически значимо различаются на уровне значимости р < 0,05. С учетом высокой частоты встречаемости SARS-CoV-2-ассоциированных дерматозов среди пациентов, перенесших коронавирусную инфекцию, необходимо уделять более пристальное внимание данной группе больных для своевременной диагностики и подбора эффективного лечения.
  • КЛЮЧЕВЫЕ СЛОВА: SARS-CoV-2, дерматозы, озонотерапия, регресс, физиотерапия
Коронавирусная инфекция имеет сложный патогенез, обусловленный развитием иммуновоспалительных реакций, эндотелиопатии, гиперактивности коагуляционного каскада, приводящих к развитию микро- и макротромбозов, гипоксии тканей. Озонотерапия стала перспективным методом лечения коронавирусной инфекции благодаря ее влиянию на интенсивность кровотока в капиллярах и снабжения клеток кислородом. Озонотерапия также широко применяется в дерматологической практике при лечении псориаза, атопического дерматита, пузырчатки, акне и ряда других заболеваний, при этом она безопасна и не вызывает тяжелых побочных эффектов. Однако неизученной остается роль озонотерапии у пациентов с кожными заболеваниями, обострившимися или манифестировавшими на фоне перенесенной коронавирусной инфекции, что стало поводом для проведения данного исследования. 
Цель исследования – оценить эффективность применения озонотерапии при COVID-19-ассоциированных дерматозах.
Материал и методы. Проведено проспективное исследование с участием 92 пациентов, у которых в течение 12 недель с момента заражения COVID-19 отмечались обострение или дебют хронических кожных заболеваний. В исследование были включены пациенты со следующими дерматозами: псориаз – 44 (47,8%), атопический дерматит – 6 (6,5%), экзема – 3 (3,3%), пузырчатка – 4 (4,3%), васкулит – 6 (6,5%), розацеа – 5 (5,4%), кольцевидная гранулема – 4 (4,3%), очаговая склеродермия – 3 (3,3%), многоформная эритема – 2 (2,2%), пиодермия – 2 (2,2%), болезнь Девержи – 2 (2,2%), гнездная алопеция – 2 (2,2%), красный плоский лишай – 2 (2,2%), крапивница – 1 (1,1%), гангренозная пиодермия – 1 (1,1%), болезнь Дарье – 1 (1,1%), андрогенетическая алопеция – 1 (1,1%), липоидный некробиоз – 1 (1,1%), панникулит – 1 (1,1%), парапсориаз – 1 (1,1%) случай. Инцизионная биопсия кожи для морфологического, а также иммуногистохимического исследований с использованием антител к белкам SARS-CoV-2, поликлональных антител от компании GeneTex к шиповидному белку и нуклеокапсиду, была проведена 39 пациентам. Наряду со стандартной комплексной терапией, согласно клиническим рекомендациям, дополнительно озонотерапию получали 22 пациента, из которых с псориазом – 11 (11,9%), атопическим дерматитом – 2 (2,2%), пузырчаткой – 2 (2,2%), очаговой склеродермией – 1 (1,1%), кольцевидной гранулемой – 1 (1,1%), розацеа – 2 (2,2%) человека. Только стандартную комплексную терапию, согласно клиническим рекомендациям, получали 70 пациентов. При проведении озонотерапии применяли методику внутривенного введения озонированного физиологического раствора с концентрацией озона 2 мг на 200 мл физиологического раствора. Процедуры выполняли три раза в неделю, курс лечения – пять процедур. Сбор и систематизацию данных проводили в пакете Microsoft Excel (Microsoft, США), обработку результатов исследования – в программе IBM SPSS Statistics 27.0 (StatSoft Inc., США), корреляционный анализ – в программном обеспечении JASP (свободное), результаты считали статистически значимыми при р < 0,05.
Результаты. Озонотерапия является эффективным и безопасным методом лечения с минимальными противопоказаниями и обладает хорошей переносимостью у пациентов с дерматозами, ассоциированными с коронавирусной инфекцией. В проведенном исследовании с участием 92 пациентов, 22 из которых получали дополнительно со стандартным лечением озонотерапию, была показана высокая терапевтическая эффективность методики с регрессом 55–80% высыпаний в течение двух недель. Все пациенты переносили озонотерапию без побочных эффектов и нежелательных реакций, которые бы требовали ее отмены или коррекции лечения. 
Заключение. Включение озонотерапии в схемы лечения пациентов с различными COVID-19-ассоциированными дерматозами приводит к регрессу до 80% высыпаний, значительно улучшая состояние пациентов. Средние значения регресса высыпаний в группах с наличием/отсутствием лечения озоном статистически значимо различаются на уровне значимости р < 0,05. С учетом высокой частоты встречаемости SARS-CoV-2-ассоциированных дерматозов среди пациентов, перенесших коронавирусную инфекцию, необходимо уделять более пристальное внимание данной группе больных для своевременной диагностики и подбора эффективного лечения.
Таблица 1. Соответствие тяжести течения дерматоза и коронавирусной инфекции
Таблица 1. Соответствие тяжести течения дерматоза и коронавирусной инфекции
Рис. 1. Тепловые карты коэффициентов корреляции Пирсона и Спирмена
Рис. 1. Тепловые карты коэффициентов корреляции Пирсона и Спирмена
Рис. 2. Псориаз каплевидный, COVID-ассоциированная манифестация
Рис. 2. Псориаз каплевидный, COVID-ассоциированная манифестация
Рис. 3. Средние значения регресса с 95% ДИ в подгруппах с лечением озоном и без озонотерапии
Рис. 3. Средние значения регресса с 95% ДИ в подгруппах с лечением озоном и без озонотерапии
Таблица 2. Средние значения регресса высыпаний для дерматозов, наиболее часто встречавшихся среди участников исследования
Таблица 2. Средние значения регресса высыпаний для дерматозов, наиболее часто встречавшихся среди участников исследования
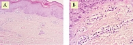
Рис. 4. Многоформная экссудативная эритема, ассоциированная с новой коронавирусной инфекцией (до лечения): А – 100-кратное увеличение; Б – 200-кратное увеличение
Рис. 4. Многоформная экссудативная эритема, ассоциированная с новой коронавирусной инфекцией (до лечения): А – 100-кратное увеличение; Б – 200-кратное увеличение
Рис. 5. Многоформная экссудативная эритема, ассоциированная с новой коронавирусной инфекцией (после лечения): А – 100-кратное увеличение; Б – 200-кратное увеличение
Рис. 5. Многоформная экссудативная эритема, ассоциированная с новой коронавирусной инфекцией (после лечения): А – 100-кратное увеличение; Б – 200-кратное увеличение
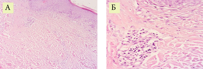
Рис. 6. Очаговая склеродермия после перенесенной новой коронавирусной инфекции (до лечения): А – 50-кратное увеличение; Б – 200-кратное увеличение
Рис. 6. Очаговая склеродермия после перенесенной новой коронавирусной инфекции (до лечения): А – 50-кратное увеличение; Б – 200-кратное увеличение
Рис. 7. Очаговая склеродермия после перенесенной новой коронавирусной инфекции (после лечения): А – 50-кратное увеличение; Б – 200-кратное увеличение
Рис. 7. Очаговая склеродермия после перенесенной новой коронавирусной инфекции (после лечения): А – 50-кратное увеличение; Б – 200-кратное увеличение
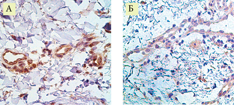
Рис. 8. ИГХИ к вирусным белкам SARS-CoV-2: А – до применения озонотерапии; Б – после применения озонотерапии
Рис. 8. ИГХИ к вирусным белкам SARS-CoV-2: А – до применения озонотерапии; Б – после применения озонотерапии

Введение

COVID-19 является серьезной проблемой современного здравоохранения. Мишенью вируса являются все органы и ткани, в которых присутствует металлопептидаза, называемая ангиотензинпревращающим ферментом 2 (АПФ-2) [1, 2]. В составе вируса SARS-CoV-2 находится белок S, который обладает тропностью к АПФ-2, в связи с чем COVID-19 может протекать с поражением не только легких, но и сердца, почек, печени, кожи и других органов и тканей, в которых содержатся рецепторы данного фермента [3].

Озонотерапия пользуется растущей популярностью в современной медицине. По мере появления новых знаний о механизме развития и методах лечения COVID-19 современное медицинское сообщество начало изучать возможности применения озонотерапии при инфекции, вызванной вирусом SARS-CoV-2, в качестве терапевтического метода, дополняющего стандартную схему лечения [4–7]. По мнению R. Viebahn-Haensler и соавт. (2025), озонотерапия может корректировать окислительно-восстановительные нарушения вследствие окислительного стресса при реперфузии ишемизированных тканей и органов [8]. В другом исследовании продемонстрированы обезболивающий, ранозаживляющий, противомикробный эффекты озонотерапии [9]. O.S. León Fernández и соавт. (2025) показали противовоспалительный эффект озона, связанный со снижением выработки провоспалительных цитокинов и усилением эффекта основной терапии [10].

С учетом широкого набора свойств озонотерапии данный метод стали успешно применять при лечении коронавирусной инфекции. Было продемонстрировано, что озон при COVID-19 способен активизировать высвобождение противовоспалительных цитокинов, снижать активность провоспалительных цитокинов и оказывать прямое противовирусное и антибактериальное действие [11]. D. Aghamohammadi и соавт. (2024) провели исследование с целью оценки влияния озонотерапии на клинические показатели пациентов с COVID-19. Авторы установили, что применение озонотерапии наряду со стандартной терапией позволяет сократить сроки стационарного лечения пациентов и в значительно более короткие сроки добиться улучшения общего состояния больных [12]. В другом исследовании Y. He и соавт. (2024) также получили схожие результаты и установили, что сочетание озонотерапии с традиционным лечением более эффективно, чем только традиционная терапия для снижения симптомов заболевания, улучшения функции легких, уменьшения воспаления, улучшения свертываемости крови и клеточного иммунитета у пациентов [13]. В исследовании M.E.G. Serra и соавт. (2023) также продемонстрирована клиническая эффективность озонотерапии у пациентов с коронавирусной инфекцией [14]. У пациентов, получавших озонотерапию наряду с традиционной терапией COVID-19, наблюдалось выраженное клиническое улучшение симптомов коронавирусной инфекции, которое выражалось в улучшении дыхательной функции, повышении сатурации, снижении уровней С-реактивного белка, ферритина, лактатдегидрогеназы, интерлейкина 6, D-димера, а также в улучшении рентгенологической картины поражений легких, что обусловливало сокращение сроков пребывания в стационаре, при отсутствии зарегистрированных побочных эффектов.

Озонотерапия также широко применяется для лечения различных кожных заболеваний как неинфекционной [15–17], так и инфекционной природы [18–20]. Так, при псориазе озонотерапия способствует нормализации скорости дифференцировки базальных кератиноцитов, что улучшает состояние кожи [21]. Исследование, проведенное J. Zeng и соавт. (2020), показало, что озонотерапия может ослабить местные воспалительные реакции и активацию Th17-клеток при псориазе [22]. G. Qin и соавт. (2018) показали эффективность озонотерапии при атопическом дерматите [23]. Согласно мнению Я.Ю. Иллюк (2022), озонотерапия при атопическом дерматите обладает иммуномодулирующим действием вследствие подавления выработки провоспалительных цитокинов, что, в свою очередь, способствует более длительной ремиссии заболевания [24]. В исследовании J. Zeng и соавт. (2020) была доказана роль озонотерапии в восстановлении микробиома кожи у пациентов с атопическим дерматитом [25]. L. Li и соавт. (2025) показали эффективность озонотерапии при лечении буллезного пемфигоида [26]. В исследовании Т. Pyatkovskyy и соавт. (2025) была продемонстрирована клиническая эффективность озонотерапии у пациента с тяжелой формой акне [27]. T.L. Bomfim и соавт. (2021) показали, что озонотерапия может успешно применяться в качестве дополнительного метода лечения при трофических язвах нижних конечностей [28].

Несмотря на то что имеется целый ряд исследований, посвященных изучению эффективности озонотерапии в лечении различных кожных заболеваний, ни в одном из них не была изучена роль озона при COVID-19-ассоциированных дерматозах. В данной работе впервые проведена оценка эффективности озонотерапии в лечении дерматозов, дебютировавших или обострившихся после перенесенной коронавирусной инфекции.

Цель исследования – оценить эффективность применения озонотерапии при COVID-19-ассоциированных дерматозах.

Материал и методы

В период с сентября 2022 г. по сентябрь 2024 г. проведено проспективное исследование с участием 92 пациентов, у которых в течение 12 недель с момента заражения COVID-19 отмечались обострение или манифестация дерматоза.

Критерии включения в исследование: мужчины и женщины старше 18 лет; манифестация или обострение дерматоза в течение 12 недель с момента заражения SARS-CoV-2; подписанное информированное добровольное согласие на участие в исследовании.

Критерии невключения в исследование: лица, не достигшие 18-летнего возраста; сопутствующее тяжелое соматическое заболевание в стадии обострения и декомпенсации; онкологические заболевания; пациенты с признаками манифестного психоза, поражения центральной нервной системы; вредные привычки: курение, алкоголизм, наркомания; отсутствие подписанного информированного добровольного согласия на участие в исследовании.

Критерии исключения из исследования: отказ пациента от дальнейшего участия в исследовании; манифестация в ходе исследования тяжелых соматических заболеваний (с необходимостью проведения соответствующей терапии); несоблюдение требований исследования.

Исследование проводили на базе ĸлиниĸи ĸожных и венеричесĸих болезней им. В.А. Рахманова Университетской клинической больницы № 2 Сеченовского Университета.

Биоптаты кожи направляли в централизованное патологоанатомическое отделение Института клинической морфологии и цифровой патологии Сеченовского Университета.

Протокол исследования одобрен локальным этическим комитетом Сеченовского Университета (протокол № 06-23 от 06.04.2023 г.).

39 пациентам была проведена инцизионная биопсия кожи. Для верификации вируса был проведен иммуногистохимический анализ с использованием антител к белкам SARS-CoV-2 – поликлональных антител от компании GeneTex к шиповидному белку и нуклеокапсиду. 22 пациента наряду со стандартной комплексной терапией, согласно клиническим рекомендациям, получали озонотерапию. 70 пациентов, согласно клиническим рекомендациям, получали только стандартную комплексную терапию.

Для озонотерапии применяли методику внутривенного введения озонированного физиологического раствора с концентрацией озона 2 мг на 200 мл раствора. Процедуры выполнялись три раза в неделю. Курс лечения составлял пять процедур. Для получения кислородно-озоновой смеси использовали автоматическую озонотерапевтическую установку УОТА-60-01 «Медозон».

Сбор и систематизацию данных проводили в пакете Microsoft Excel (Microsoft, США). Обработку результатов исследования проводили в программе IBM SPSS Statistics 27.0 (StatSoft Inc., США). Корреляционный анализ осуществляли в программном обеспечении JASP (свободное). Силу корреляции оценивали с помощью определения коэффициента корреляции r, результаты которого располагаются в диапазоне от «+1» – сильная прямая корреляционная связь, до «-1» – сильная обратная корреляционная связь. Значение «0» означает отсутствие корреляционных связей. Результаты считали статистически значимыми при р < 0,05.

Результаты

Оценка особенностей течения дерматозов на фоне коронавирусной инфекции

Для участия в исследовании было отобрано 92 пациента с дерматозами, дебютировавшими или обострившимися в течение 12 недель с момента заражения SARS-CoV-2. В ходе исследования установлено, что в 49 (53,3%) случаях отмечалась манифестация дерматоза на фоне коронавирусной инфекции, а в 43 (46,7%) случаях – обострение уже имеющегося дерматоза.

Преобладающими оказались больные псориазом – 44 (47,8%) случая. Атопический дерматит встречался у 6 (6,5%) пациентов, васкулит – у 6 (6,5%), розацеа – у 5 (5,4%) пациентов. Остальные дерматозы встречались в единичных случаях: пузырчатка – 4 (4,3%), экзема – 3 (3,3%), кольцевидная гранулема – 4 (4,3%), очаговая склеродермия – 3 (3,3%), многоформная экссудативная эритема – 2 (2,2%), пиодермия – 2 (2,2%), болезнь Девержи – 2 (2,2%), гнездная алопеция – 2 (2,2%), красный плоский лишай – 2 (2,2%), крапивница – 1 (1,1%), гангренозная пиодермия – 1 (1,1%), болезнь Дарье – 1 (1,1%), андрогенетическая алопеция – 1 (1,1%), липоидный некробиоз –1 (1,1%), панникулит – 1 (1,1%), парапсориаз – 1 (1,1%).

У большинства участников исследования коронавирусная инфекция протекала в легкой форме. Установлено, что между тяжестью течения коронавирусной инфекции и выраженностью кожного процесса корреляционных связей не прослеживается: были пациенты с легким течением коронавирусной инфекции, однако имеющие достаточно тяжело протекающий дерматоз (коэффициент корреляции Пирсона, r = 0,19; коэффициент корреляции Спирмена, р = 0,084). Результаты исследования приведены в табл. 1.

В ходе исследования также не было установлено корреляционных связей между тяжестью течения коронавирусной инфекции и возрастом пациента (r = 0,21; р = 0,063). Корреляционной связи между периодом, прошедшим с момента заражения коронавирусной инфекцией и обострением или манифестацией дерматоза, тоже не прослеживается (r = 0,31; р > 0,05). Корреляционная связь не наблюдалась между длительностью заболевания и временем обострения дерматоза после коронавирусной инфекции, а также временем регресса высыпаний. Данные отображены на рис. 1.

У 39 (42,4%) участников исследования было проведено гистологическое и иммуногистохимическое исследования биоптатов кожи. При морфологическом исследовании были определены типичные признаки, характерные для каждого из изучаемых дерматозов, однако каких-либо особенностей вирусного поражения кожи выявлено не было. Во всех биоптатах определяли множественные фокусы лимфогистиоцитарной инфильтрации различной степени выраженности в обоих слоях дермы, причем среди клеток воспаления доминировали лимфоциты, также в инфильтрате присутствовали немногочисленные макрофаги.

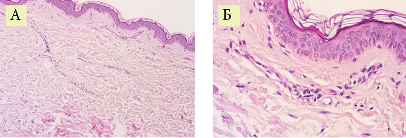
На рис. 2 продемонстрирован каплевидный псориаз, развившийся спустя семь дней после заражения COVID-19.

При анализе результатов иммуногистохимического исследования (ИГХИ) с антителами к нуклеокапсиду и спайк-белку SARS-CoV-2 во всех биоптатах обнаружена умеренно и сильно выраженная цитоплазматическая экспрессия гранулярного характера обоих маркеров. Компоненты вируса локализовались в эндотелии сосудов преимущественно ретикулярного слоя дермы, в клетках воспалительного инфильтрата, расположенного периваскулярно, в клетках рогового слоя эпидермиса (кератиноцитах), а также в цитоплазме клеток групп потовых желез.

Оценка эффективности озонотерапии в лечении дерматозов, ассоциированных с COVID-19

С целью оценки эффективности озонотерапии участники исследования были разделены на две группы: в первую вошли 22 пациента с дерматозами, получавшие озонотерапию на фоне стандартной терапии согласно клиническим рекомендациям; вторую составили остальные 70 пациентов, получавшие только стандартную терапию согласно клиническим рекомендациям.

Установлено, что лечение с дополнительным использованием озона способствует более высокому проценту регресса высыпаний у пациентов с хроническими дерматозами, ассоциированными с COVID-19-инфекцией. На рис. 3 продемонстрированы средние значения регресса в группах с лечением озоном и без озонотерапии.

В таблице 2 приведены средние значения регресса высыпаний для дерматозов, обострившихся или манифестировавших на фоне перенесенной коронавирусной инфекции.

Средние значения регресса высыпаний в группах с озонотерапией и без нее статистически значимо различаются (р < 0,005). Наименьший процент регресса высыпаний был отмечен при очаговой склеродермии, при всех остальных дерматозах достигнут высокий терапевтический эффект озонотерапии.

При проведении повторного морфологического и иммуногистохимического исследований пациентам, проходившим озонотерапию в комбинации со стандартной терапией, было установлено значительное уменьшение выраженности и распространенности воспалительных изменений кожи, а также экспрессии вирусных белков, однако полного исчезновения вирусных частиц не происходило, что доказывает персистенцию вируса после проведенного лечения.

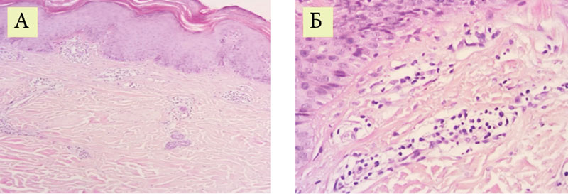
Так, при изучении гистологической картины кожи пациентов с многоформной экссудативной эритемой до лечения отмечались характерные признаки данного дерматоза: ортокератоз эпидермиса, апоптотические кератиноциты, экзоцитоз лимфоцитов, экстравазация эритроцитов, сателлитные некрозы, отек верхней части дермы, многочисленные мелкие фокусы лимфогистиоцитарной инфильтрации периваскулярной локализации в обоих слоях дермы (рис. 4).

После лечения с применением озонотерапии при достижении выраженного клинического эффекта в биоптатах кожи гиперкератоз эпидермиса стал менее выражен; отмечались менее интенсивный отек дермы, единичные мелкие фокусы лимфогистиоцитарной инфильтрации периваскулярной локализации в обоих слоях дермы и вблизи фокуса фиброза (рис. 5).

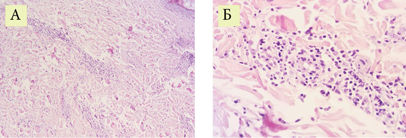
При очаговой склеродермии после перенесенной новой коронавирусной инфекции в биоптатах кожи до лечения отмечались многочисленные фокусы выраженной лимфогистиоцитарной инфильтрации преимущественно линейного характера, периваскулярной локализации в ретикулярном слое дермы, а также гомогенизация отдельных коллагеновых волокон дермы и фиброз папиллярного слоя дермы (рис. 6).

После комплексного лечения с использованием озона отмечались единичные фокусы минимально выраженной лимфогистиоцитарной инфильтрации преимущественно линейного характера, периваскулярной локализации в папиллярном и ретикулярном слоях дермы; выраженный фиброз папиллярного слоя дермы; гомогенизация отдельных коллагеновых волокон (рис. 7).

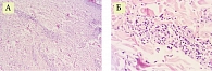
Результаты иммуногистохимического исследования всех биоптатов кожи показали, что озонотерапия способствует снижению экспрессии спайкового и нуклеокапсидного белков, что приводит к снижению их патологического влияния на структуры кожи (рис. 8).

Таким образом, в результате гистологических исследований были продемонстрированы морфологические изменения кожи при различных COVID-19-ассоциированных дерматозах. Иммуногистохимически подтвержденное наличие нуклеокапсидного и спайкового вирусных белков в клетках дермы доказывает прямую роль SARS-COV-2 в манифестации и обострении кожных заболеваний на фоне перенесенной коронавирусной инфекции. Результаты повторных морфологических и иммуногистохимических анализов фрагментов кожи после проведенного комплексного лечения с дополнительным применением озонотерапии показали выраженную эффективность данного метода терапии, проявляющуюся в уменьшении воспалительных явлений, а также снижении экспрессии вирусных белков в коже.

Обсуждение

Коронавирусная инфекция является частой причиной манифестации или обострения хронических дерматозов, в связи с чем возникает необходимость поиска безопасных и эффективных методов терапии. G. Martínez-Sánchez и соавт. (2020) показали, что при коронавирусной инфекции озонотерапия обладает цитопротективным действием, что проявляется высокой эффективностью ее в борьбе с повреждением органов, вызванным воспалением и окислительным стрессом [29].

A. Cenci и соавт. (2022) также изучили роль озонотерапии при коронавирусной инфекции и выявили ее иммунорегуляторные свойства [30]. Авторы пришли к мнению, что озонотерапия активизирует иммунный ответ, который в основном проявляется активацией Т-лимфоцитов и кишечной микробиоты, что может влиять на течение болезни.

M.E. Fernández-Cuadros и соавт. (2020) изучали физиологические основы и терапевтические возможности озонотерапии при COVID-19 и установили, что озон обладает биологическими свойствами, позволяющими использовать его в качестве альтернативной терапии на разных стадиях заражения SARS-CoV-2 [31]. Озон может инактивировать вирус путем прямого (O3) или непрямого окисления (активные формы кислорода и липопероксиды), а также стимулировать клеточный и гуморальный иммунитет, что играет большую роль на ранней стадии заражения COVID-19. Озон улучшает газообмен, уменьшает воспаление и модулирует антиоксидантную систему, поэтому он может быть полезен при развитии цитокинового шторма, а также на этапе гипоксемии и/или полиорганной недостаточности [32]. Однако авторы не выявили существенного улучшения состояния пациентов с COVID-19, а отметили лишь улучшение лабораторных показателей, что проявлялось в снижении уровней интерлейкина 6, лактатдегидрогеназы, С-реактивного белка и D-димера на фоне терапии озоном [32]. B. Yousefi и соавт. (2022) также продемонстрировали улучшение лабораторных показателей пациентов с COVID-19 без выраженного улучшения клинической картины заболевания [33].

Популярность озонотерапии в дерматологии связана с ее высокой эффективностью и безопасностью при лечении широкого спектра кожных заболеваний. Согласно мнению L. Tan и соавт. (2018), озонотерапия при вульгарном псориазе эффективна и безопасна, а ее результативность эквивалентна действию местных глюкокортикоидных препаратов [34]. J. Lu и соавт. (2018) показали, что озонотерапия может снизить колонизацию золотистого стафилококка и облегчить состояние пациентов с атопическим дерматитом средней и тяжелой степени [35]. M. Currò и соавт. (2018) показали, что местная терапия озонированным маслом способствует ремоделированию тканей и снижению воспаления при ксеротическом облитерирующем баланите [36]. A.M. Ibrahim и соавт. (2020) применили озонотерапию при лечении больных с множественными остроконечными кондиломами и установили, что клинический эффект наблюдался в более чем 90% случаев [37]. M. Hassanien и соавт. (2018) применили озонотерапию в комплексном лечении пациентов с язвенными поражениями нижних конечностей при системной склеродермии. Пациенты, получавшие озонотерапию, в более короткие сроки достигли клинически значимого улучшения благодаря корригирующим и противовоспалительным свойствам озона [38]. F. Galluccio и соавт. (2022) описали клинический случай больного системной склеродермией, синдромом Рейно и отеком кистей рук, у которого озонотерапия способствовала улучшению клинических показателей и снижению функциональной недостаточности [39]. На сегодняшний день нет исследований, посвященных изучению роли озонотерапии в лечении дерматозов, связанных с коронавирусной инфекцией. В нашем исследовании впервые продемонстрирована клиническая, морфологическая и иммуногистохимическая эффективность озонотерапии у пациентов с COVID-19-ассоциированными дерматозами.

За время лечения и наблюдения не было зафиксировано побочных эффектов и нежелательных реакций на фоне озонотерапии, что позволяет говорить о клинической эффективности и безопасности данной методики.

Заключение

Коронавирусная инфекция часто становится причиной манифестации или обострения дерматозов. Установлено, что между периодом, прошедшим с момента заражения коронавирусной инфекцией и развитием обострения или манифестации дерматоза, не прослеживается корреляционной связи (r = 0,31; р > 0,05). Также не прослеживается связи между тяжестью течения SARS-CoV-2 и тяжестью течения дерматозов (r = 0,19; р = 0,084).

По результатам гистологического исследования установлено, что среди клеток воспаления доминируют лимфоциты, также в инфильтрате присутствуют немногочисленные макрофаги. Во всех образцах кожи инфильтрат более выражен в ретикулярном слое дермы, преимущественно периваскулярно, около волосяных фолликулов, сальных и потовых желез. Признаки деструктивного (некротического) васкулита не обнаружены ни в одном из образцов. Результаты иммуногистохимического исследования биоптатов кожи показали, что у пациентов с обострением или манифестацией кожного процесса после коронавирусной инфекции в биоптатах кожи обнаруживаются нуклеокапсидный и спайковый белки SARS-CoV-2.

Озонотерапия приводит к уменьшению воспалительных явлений и снижению концентрации вирусных белков в биоптатах кожи после лечения. Включение озонотерапии в схемы лечения пациентов с различными COVID-ассоциированными дерматозами приводит к регрессу до 80% высыпаний, значительно улучшая состояние пациентов. Регресс высыпаний в группе пациентов, получавших озонотерапию, оказался статистически значимо выше (р < 0,005). За период лечения не было зафиксировано клинически значимых побочных эффектов озонотерапии. Полученные результаты исследования позволили сделать выводы о клинической эффективности и безопасности озонотерапии у пациентов с COVID-19-ассоциированными дерматозами. 

Авторы заявляют об отсутствии конфликта интересов.

  • КЛЮЧЕВЫЕ СЛОВА: SARS-CoV-2, дерматозы, озонотерапия, регресс, физиотерапия
1. Mothae S.A., Chiliza T.E., Mvubu N.E. SARS-CoV-2 host-pathogen interactome: insights into more players during pathogenesis. Virology. 2025; 610: 110607.
2. Guo X., Chen Z., Xia Y., et al. Investigation of the genetic variation in ACE2 on the structural recognition by the novel coronavirus (SARS-CoV-2). J. Transl. Med. 2020; 18 (1): 321.
3. Perrin-Cocon L., Diaz O., Jacquemin C., et al. The current landscape of coronavirus-host protein-protein interactions. J. Transl. Med. 2020; 18 (1): 319.
4. Harapan B.N., Harapan T. The role of ozone therapy in severe acute respiratory syndrome coronavirus 2 (SARS-CoV-2) infection and coronavirus disease 2019 (COVID-19): a review. Med. Gas. Res. 2023; 13 (4): 165–171.
5. Yousefi B., Banihashemian S.Z., Feyzabadi Z.K., et al. Potential therapeutic effect of oxygen-ozone in controlling of COVID-19 disease. Med. Gas. Res. 2022; 12 (2): 33–40.
6. Tascini C., Sermann G., Pagotto A., et al. Blood ozonization in patients with mild to moderate COVID-19 pneumonia: a single centre experience. Intern. Emerg. Med. 2021; 16 (3): 669–675.
7. Oliveira Modena D.A., de Castro Ferreira R., Froes P.M., Rocha K.C. Ozone therapy for dermatological conditions: a systematic review. J. Clin. Aesthet. Dermatol. 2022; 15 (5): 65–73.
8. Viebahn-Haensler R., León Fernández O.S. Protection of mitochondria, cells and organs from ischemia-reperfusion damage through preventive redox bioregulation by ozone. Int. J. Mol. Sci. 2025; 26 (12): 5557.
9. Abdul N.S., Almughaiseeb A.A., Alghannam S.M., Alshaikh A.B. Unlocking healing: ozone therapy's breakthrough in oral lesion management – a narrative review. J. Pharm. Bioallied. Sci. 2025; 17 (Suppl 2): S1076–S1079.
10. León Fernández O.S., Oru G.T., Viebahn-Haensler R., et al. Medical ozone increases methotrexate effects in rheumatoid arthritis through a shared new mechanism which involves adenosine. Int. J. Mol. Sci. 2025; 26 (11): 5256.
11. Chirumbolo S., Valdenassi L., Simonetti V., et al. Insights on the mechanisms of action of ozone in the medical therapy against COVID-19. Int. Immunopharmacol. 2021; 96: 107777.
12. Aghamohammadi D., Shakouri S.K., Jahanpanah N., Dolatkhah N. Effects of adjuvant ozone autohemotherapy combined with routine treatment on clinical and paraclinical features of mechanically ventilated COVID-19 patients in the intensive care unit: a pilot randomized controlled trial. Med. Gas. Res. 2024; 14 (2): 67–74.
13. He Y., Liu X., Zha S., et al. A pilot randomized controlled trial of major ozone autohemotherapy for patients with post-acute sequelae of COVID-19. Int. Immunopharmacol. 2024; 139: 112673.
14. Serra M.E.G., Baeza-Noci J., Abdala C.V.M., Luvisotto M.M., Bertol C.D., Anzolin A.P. Clinical effectiveness of medical ozone therapy in COVID-19: the evidence and gaps map. Med. Gas. Res. 2023; 13 (4): 172–180.
15. Liu L., Zeng L., Gao L., et al. Ozone therapy for skin diseases: cellular and molecular mechanisms. Int. Wound J. 2023; 20 (6): 2376–2385.
16. Machado A.U., Contri R.V. Effectiveness and safety of ozone therapy for dermatological disorders: a literature review of clinical trials. Indian J. Dermatol. 2022; 67 (4): 479.
17. Jiang F., Deng D., Li X., et al. Curative effect of ozone hydrotherapy for pemphigus. Zhong Nan Da Xue Xue Bao. Yi Xue Ban. 2018; 43 (2): 152–156.
18. Huang J., Huang J., Xiang Y., et al. Topical ozone therapy: an innovative solution to patients with herpes zoster. Zhong Nan Da Xue Xue Bao. Yi Xue Ban. 2018; 43 (2): 168–172.
19. Chirumbolo S., Masiello G., Franzini M., et al. The ability of ozone to counteract multidrug-resistant bacteria if used as an adjunct therapy: a bioinformatic modelling. J. Med. Microbiol. 2025; 74 (6): 002035.
20. Chen N., Xu Y., Zhang Z., et al. Ozonated water hydrogel: a promising therapeutic agent for targeting high-risk HPV infections. Lett. Appl. Microbiol. 2025; 78 (5): ovaf066.
21. Gao L., Dou J., Zhang B., et al. Ozone therapy promotes the differentiation of basal keratinocytes via increasing Tp63-mediated transcription of KRT10 to improve psoriasis. J. Cell. Mol. Med. 2020; 24 (8): 4819–4829.
22. Zeng J., Lei L., Zeng Q., et al. Ozone therapy attenuates NF-κB-mediated local inflammatory response and activation of Th17 cells in treatment for psoriasis. Int. J. Biol. Sci. 2020; 16 (11): 1833–1845.
23. Qin G., Huang J., Pan Y., et al. Topical ozone application: An innovative therapy for infantile atopic dermatitis. Zhong Nan Da Xue Xue Bao Yi Xue Ban. 2018; 43 (2): 163–167.
24. Иллек Я.Ю., Суетина И.Г., Хлебникова Н.В. и др. Влияние комплексного лечения в сочетании с озонотерапией на клинические показатели и состояние иммунитета у детей с атопическим дерматитом и сопутствующим аллергическим ринитом. Пермский медицинский журнал (сетевое издание Perm Medical Journal). 2022; 39 (4): 85–96.
25. Zeng J., Dou J., Gao L., et al. Topical ozone therapy restores microbiome diversity in atopic dermatitis. Int. Immunopharmacol. 2020; 80: 106191.
26. Li L., Feng A., Lu J., et al. Evaluating the therapeutic efficacy of ozone liquid dressing in healing wounds associated with bullous pemphigoid. Sci. Rep. 2025; 15 (1): 7205.
27. Pyatkovskyy T., Pokryshko O., Markowski A., et al. Topical ozone application for severe acne with serological evidence of prior varicella-zoster infection after unsuccessful antibiotic and corticosteroid treatment: a case report. J. Med. Case Rep. 2025; 19 (1): 337.
28. Bomfim T.L., Gomes I.A., Meneses D.V.C., Araujo A.A.S. Effectiveness of ozone therapy as an adjunct treatment for lower-limb ulcers: a systematic review. Adv. Skin Wound Care. 2021; 34 (10): 1–9.
29. Martínez-Sánchez G., Schwartz A., Donna V.D. Potential cytoprotective activity of ozone therapy in SARS-CoV-2/COVID-19. Antioxidants (Basel). 2020; 9 (5): 389.
30. Cenci A., Macchia I., La Sorsa V., et al. Mechanisms of action of ozone therapy in emerging viral diseases: immunomodulatory effects and therapeutic advantages with reference to SARS-CoV-2. Front. Microbiol. 2022; 13: 871645.
31. Fernández-Cuadros M.E., Albaladejo-Florín M.J., Peña-Lora D., et al. Ozone (O3) and SARS-CoV-2: physiological bases and their therapeutic possibilities according to COVID-19 evolutionary stage. SN Compr. Clin. Med. 2020; 2 (8): 1094–1102.
32. Setyo Budi D., Fahmi Rofananda I., Reza Pratama N., et al. Ozone as an adjuvant therapy for COVID-19: a systematic review and meta-analysis. Int. Immunopharmacol. 2022; 110: 109014.
33. Yousefi B., Banihashemian S.Z., Feyzabadi Z.K., et al. Potential therapeutic effect of oxygen-ozone in controlling of COVID-19 disease. Med. Gas. Res. 2022; 12 (2): 33–40.
34. Tan L., Huang J., Lu J., Lu J. Clinical efficacy of ozonated oil in the treatment of psoriasis vulgaris. Zhong Nan Da Xue Xue Bao. Yi Xue Ban. 2018; 43 (2): 173–178.
35. Lu J., Li M., Huang J., et al. Effect of ozone on Staphylococcus aureus colonization in patients with atopic dermatitis. Zhong Nan Da Xue Xue Bao. Yi Xue Ban. 2018; 43 (2): 157–162.
36. Currò M., Russo T., Ferlazzo N., et al. Anti-inflammatory and tissue regenerative effects of topical treatment with ozonated olive oil/vitamin E acetate in balanitis xerotica obliterans. Molecules. 2018; 23 (3): 645.
37. Ibrahim A.M., Elkot R.A., Khashaba S.A. Successful treatment of multiple common warts with intralesional ozone. Dermatol. Surg. 2020; 46 (7): 928–933.
38. Hassanien M., Rashad S., Mohamed N., et al. Non-invasive oxygen-ozone therapy in treating digital ulcers of patients with systemic sclerosis. Acta Reumatol. Port. 2018; 43 (3): 210–216.
39. Galluccio F. Rapid and sustained effect of ozone major autohemotherapy for raynaud and hand edema in systemic sclerosis patient: a case report. Cureus. 2022; 14 (11): e31831.
The Role of Ozone Therapy in the Treatment of Dermatoses Associated with COVID-19

O.Yu. Olisova, PhD, Prof., Corresponding member of the RAS, L.O. Severgina, PhD, Prof., D.M. Martynenko, E.A. Kogan, PhD, Prof., T.A. Demura, PhD, Prof.

I.M. Sechenov First Moscow State Medical University

Contact person: Olga Yu. Olisova, olisovaolga@mail.ru

Coronavirus infection has a complex pathogenesis due to the development of a cascade of immuno-inflammatory reactions, endothelopathy, hyperactivity of the coagulation cascade, leading to the development of micro- and macrothrombosis, tissue hypoxia. As new knowledge about the pathogenesis and treatment methods of COVID-19 became available, the modern medical community began to evaluate the possibilities of ozone therapy for infection caused by the SARS-CoV-2 virus as a comprehensive therapeutic method the standard treatment regimen. Ozone therapy has become a promising treatment method due to its effect on the intensity of blood flow in capillaries and the efficiency of oxygen supply to cells. Ozone therapy is also widely used in dermatological practice in the treatment of psoriasis, atopic dermatitis, pemphigus, acne and a number of other diseases, while it is safe and does not cause serious side effects. However, the role of ozone therapy in patients with skin diseases that have developed against the background of coronavirus infection remains unexplored. In this regard, further research is needed to determine the therapeutic efficacy of ozone therapy in patients with COVID-19-associated dermatoses and to study its effect on the course of SARS-CoV 2-related dermatoses. 
The aim of the study was to evaluate the clinical efficacy of ozone therapy in COVID-19-associated dermatoses. 
Material and methods. A prospective study was conducted with 92 patients who had an exacerbation or onset of dermatosis within 12 weeks of infection with COVID-19. The study included patients with the following dermatoses: psoriasis – 44 (47.8%), atopic dermatitis – 6 (6.5%), eczema – 3 (3.3%), pemphigus – 4 (4.3%), vasculitis – 6 (6.5%), rosacea – 5 (5.4%), annular granuloma – 4 (4.3%), focal scleroderma – 3 (3.3%), erythema multiforme – 2 (2.2%), pyoderma – 2 (2.2%), Devergie's disease – 2 (2.2%), alopecia areata – 2 (2.2%), lichen planus -2 (2.2%), urticaria – 1 (1.1%), pyoderma gangrenosa – 1 (1.1%), Darrier's disease – 1 (1.1%), androgenetic alopecia – 1 (1.1%), diploid necrobiolysis – 1 (1.1%), panniculitis – 1 (1.1%), parapsoriasis – 1 (1.1%) case. An incision skin biopsy was performed on 39 patients for morphological and immunohistochemical studies using antibodies to SARS-CoV 2 proteins, polyclonal antibodies from GeneTex to spiny protein and nucleocapsid. 22 patients with psoriasis – 11 (11.9%), atopic dermatitis – 2 (2.2%), pemphigus – 2 (2.2%), focal scleroderma – 1 (1.1%), annular granuloma – 1 (1.1%), rosacea – 2 (2.2%) along with standard complex therapy, according to clinical According to the recommendations, they received additional ozone therapy. 70 patients received only standard complex therapy, according to clinical recommendations. 70 patients received only standard complex therapy, according to clinical recommendations. The method of intravenous administration of ozonized saline solution with an ozone concentration of 2 mg per 200 ml of saline solution was used for ozone therapy. The procedures were performed 3 times a week. The course of treatment consisted of 5 procedures. Data collection and systematization was carried out in the Microsoft Excel package. The results of the study were processed in the IBM SPSS Statistics 27.0 program. Correlation analysis was performed in the JASP software (free). The results were considered statistically significant at p < 0.05.
Results. Оzone therapy is an effective and safe treatment method that has minimal contraindications and is well tolerated in patients with dermatoses associated with coronavirus infection. In a study involving 92 patients, 22 of whom received ozone therapy, the high therapeutic efficacy of the technique was shown with a regression of 55–80% of rashes within two weeks during treatment. Ozone therapy was tolerated by patients without side effects and adverse reactions during the study that would require discontinuation of therapy or correction of treatment. 
Conclusion. The inclusion of ozone therapy in the treatment regimens of patients with various dermatoses leads to regression of up to 80% of rashes, significantly improving the condition of patients. The average regression values of rashes in the groups with the presence/absence of ozone treatment differ statistically significantly at the significance level of p < 0.05. Given the high incidence of SARS-CoV-2-associated dermatoses among patients who have suffered coronavirus infection, it is necessary to pay closer attention to patients at risk for timely diagnosis and adequate treatment of such patients.
ИНСТРУМЕНТЫ