количество статей
7376
Загрузка...
Практика

Перекрут придатков матки у детей: диагностические сложности «заболевания-хамелеона»

Е.В. Сибирская
П.О. Никифорова
И.А. Меленчук
М.С. Ширинянц
Р.П. Бильченко
Российская детская клиническая больница – филиал Российского национального исследовательского медицинского университета им. Н.И. Пирогова
Российский национальный исследовательский медицинский университет им. Н.И. Пирогова
Российский университет медицины
Российский университет дружбы народов им. Патриса Лумумбы
Адрес для переписки: Полина Олеговна Никифорова, pol_nikiforova@mail.ru
Для цитирования: Сибирская Е.В., Никифорова П.О., Меленчук И.А. и др. Перекрут придатков матки у детей: диагностические сложности «заболевания-хамелеона». Эффективная фармакотерапия. 2025; 21 (45): 78–84.
DOI 10.33978/2307-3586-2025-21-45-78-84
Эффективная фармакотерапия. 2025. Том 21. № 45. Акушерство и гинекология
  • Аннотация
  • Статья
  • Ссылки
  • English
Перекрут придатков матки – ургентное состояние в гинекологии, при котором происходит полный или частичный перекрут яичника и/или маточной трубы, сопровождающийся нарушением артериального кровоснабжения. Как правило, торсия яичника связана с опухолевидным образованием. Вместе с тем причинами перекрута придатков матки могут быть и анатомические особенности расположения яичников у детей, чрезмерная длина связочного аппарата малого таза, интенсивные физические нагрузки. 
Проанализированы научные публикации, размещенные в базах данных PubMed, Cochrane Library и Google Scholar. Основное внимание уделено исследованиям, в которых рассматривались распространенность, диагностические методы и клинические проявления перекрута придатков матки.
Представленные клинические наблюдения подчеркивают разнообразие проявлений заболевания и важность индивидуального подхода к диагностике и лечению. В первом случае старый перекрут привел к аднексэктомии из-за отсроченной постановки диагноза и необратимой ишемии придатков матки. Второй случай демонстрирует возможность органосохраняющего лечения при раннем выявлении и мягком перекруте придатков матки.
  • КЛЮЧЕВЫЕ СЛОВА: перекрут придатков матки, клинический случай, девочки, подростки, новообразования яичников, органосохраняющая операция, аднексэктомия
Перекрут придатков матки – ургентное состояние в гинекологии, при котором происходит полный или частичный перекрут яичника и/или маточной трубы, сопровождающийся нарушением артериального кровоснабжения. Как правило, торсия яичника связана с опухолевидным образованием. Вместе с тем причинами перекрута придатков матки могут быть и анатомические особенности расположения яичников у детей, чрезмерная длина связочного аппарата малого таза, интенсивные физические нагрузки. 
Проанализированы научные публикации, размещенные в базах данных PubMed, Cochrane Library и Google Scholar. Основное внимание уделено исследованиям, в которых рассматривались распространенность, диагностические методы и клинические проявления перекрута придатков матки.
Представленные клинические наблюдения подчеркивают разнообразие проявлений заболевания и важность индивидуального подхода к диагностике и лечению. В первом случае старый перекрут привел к аднексэктомии из-за отсроченной постановки диагноза и необратимой ишемии придатков матки. Второй случай демонстрирует возможность органосохраняющего лечения при раннем выявлении и мягком перекруте придатков матки.
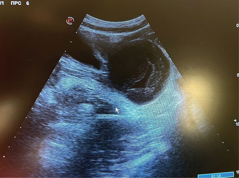
Рис. 1. УЗИ ОМТ пациентки А., 11 лет: объемное образование левых придатков матки, старый перекрут левых придатков матки
Рис. 1. УЗИ ОМТ пациентки А., 11 лет: объемное образование левых придатков матки, старый перекрут левых придатков матки
Рис. 2. МРТ ОМТ пациентки А., 11 лет: объемное образование в проекции левых придатков матки
Рис. 2. МРТ ОМТ пациентки А., 11 лет: объемное образование в проекции левых придатков матки
Рис. 3. Пациентка А., 11 лет: интраоперационная картина старого перекрута левых придатков матки
Рис. 3. Пациентка А., 11 лет: интраоперационная картина старого перекрута левых придатков матки
Рис. 4. Пациентка А., 11 лет: интраоперационная картина после аднексэктомии слева
Рис. 4. Пациентка А., 11 лет: интраоперационная картина после аднексэктомии слева
Рис. 5. МРТ ОМТ пациентки В., 13 лет: объемное образование в проекции правого яичника
Рис. 5. МРТ ОМТ пациентки В., 13 лет: объемное образование в проекции правого яичника
Рис. 6. Пациентка В., 13 лет: интраоперационная картина мягкого (нетугого) перекрута правых придатков матки
Рис. 6. Пациентка В., 13 лет: интраоперационная картина мягкого (нетугого) перекрута правых придатков матки
Рис. 7. Пациентка В., 13 лет: интраоперационная картина после деторсии правых придатков матки. Визуализируется лимфостаз в проекции правого яичника
Рис. 7. Пациентка В., 13 лет: интраоперационная картина после деторсии правых придатков матки. Визуализируется лимфостаз в проекции правого яичника

Введение

Перекрут придатков матки (ППМ) – ургентное состояние в гинекологии, характеризующееся полным или частичным перекрутом яичника и/или маточной трубы. Как следствие – нарушение артериального кровоснабжения, развитие ишемии и некроза тканей [1].

Указанная патология занимает пятое место по частоте среди оперативных вмешательств в гинекологической практике. Согласно данным разных авторов, на ее долю в структуре острых гинекологических заболеваний приходится 2,7–7% [2, 3]. ППМ встречается у детей любого возраста, даже антенатального, но чаще проявляется у девочек в возрасте 8–16 лет (средний возраст – 12,5 года) [4]. Обычно ППМ развивается при увеличении яичника, например, из-за опухолевидного образования размером 5 см и более [2]. Торсия яичника происходит из-за смещения его центра тяжести, что приводит к его вращению вокруг оси, образованной воронко-тазовой связкой и собственной связкой яичника, с последующей фиксацией в ротированном положении. Однако ППМ может возникать и в отсутствие опухолевидного компонента [5]. В таком случае ППМ объясняют чрезмерной длиной связок малого таза, анатомическими особенностями расположения яичников в детском возрасте (чем младше ребенок, тем выше яичники расположены в брюшной полости), интенсивными физическими нагрузками, резким изменением положения тела и констипацией [6, 7]. В 60% случаев ППМ возникает с правой стороны, поскольку сигмовидная кишка ограничивает пространство для смещения придатков [8].

Постановка диагноза может оказаться отсроченной. Тогда неизбежны осложнения, в частности снижение репродуктивного потенциала, асептический некроз тканей или самоампутация придатка матки. Частота осложнений при опухолях и опухолевидных образованиях матки, по данным разных авторов, составляет 36,5–53,7% [9]. Это связано с относительно неспецифичной клинической картиной, вариабельностью симптомов и отсутствием достаточных клинических или диагностических критериев для подтверждения диагноза на дооперационном этапе.

Во избежание диагностических ошибок целесообразно включать ППМ в диагностический поиск как «заболевание-хамелеон».

Клинический случай 1

Пациентка А., 11 лет. Родители девочки обратились за помощью к специалисту областной больницы в марте 2022 г. по месту жительства по поводу боли в левой подвздошной области в течение четырех часов, тошноты и рвоты после приема пищи, а также повышения температуры тела до 37,3 °C. Родители самостоятельно давали ребенку Но-шпу (дротаверин) 40 мг однократно, Нурофен (ибупрофен) 200 мг однократно и Анальгин (метамизол натрия) 500 мг однократно, но без эффекта.

При пальпации в области живота – болезненность над лоном слева и опухолевидное образование. Данные ультразвукового исследования (УЗИ): образование в проекции левого яичника размером 4,7 × 3,8 × 4,8 см с неоднородной структурой и четкими контурами, старый перекрут левых придатков матки (рис. 1). Выявлено также небольшое количество свободной жидкости в полости малого таза (0,8 см). Заключение: эхопризнаки образования левого яичника, предположительно кисты желтого тела.

После консультации гинеколога был поставлен диагноз «аднексит слева» и назначены антибактериальная терапия (джозамицин 500 мг по одной-две таблетки в день за час до еды в течение семи дней) и наблюдение в динамике под контролем УЗИ на шестой-седьмой день менструального цикла. Однако через три дня после начала лечения мать ребенка настояла на выписке. Пациентку выписали в состоянии средней тяжести с заключением: воспалительные заболевания женских тазовых органов неуточненные (острое проявление). Основной диагноз: аднексит слева. Сопутствующий диагноз: фолликулярная киста яичника слева.

В августе 2024 г. у девочки повторно возник абдоминальный болевой синдром, сопровождавшийся тошнотой и рвотой. Боль в левой подвздошной области иррадиировала в поясницу и усиливалась при физической нагрузке. Вскоре у пациентки повысилась температура до 37,8 °C с ознобом. После обращения в областную больницу был поставлен диагноз кисты яичника слева. Проведены консервативная терапия и динамическое наблюдение. Пациентку выписали через неделю с рекомендацией проведения магнитно-резонансной томографии (МРТ) органов малого таза (ОМТ) в динамике.

В сентябре по результатам МРТ ОМТ зафиксировано в позадиматочном пространстве слева образование неправильной формы размером 92 × 70 × 61 мм с нечеткой визуализацией ткани яичника (рис. 2). Кроме того, обнаружена свободная жидкость в полости таза. Заключение МРТ: геморрагическая киста слева.

Пациентку направили на консультацию в Российскую детскую клиническую больницу (РДКБ) – филиал Российского национального исследовательского медицинского университета (РНИМУ) им. Н.И. Пирогова, где было принято решение о госпитализации. Данные осмотра: оволосение по женскому типу, слизистая оболочка вульвы розового цвета, клитор не гипертрофирован, выделения светлые, слизистые. При ректоабдоминальном обследовании выявлено тугоэластическое образование в области левых придатков диаметром 8 см, безболезненное при пальпации. Анализы крови и мочи в пределах возрастных норм. УЗИ ОМТ: матка в anteflexio размером 40 × 21 × 34 мм, шейка – 29 × 22 мм, структура миометрия однородная. Размер правого яичника 33 × 22 × 23 мм. Со стороны левого яичника визуализируется округлое образование неоднородной структуры размером 92 × 70 × 61 мм. Заключение: доброкачественное новообразование левого яичника; нельзя исключить старый перекрут левых придатков матки.

На основании клинико-анамнестических данных и лабораторных исследований выставлен диагноз: доброкачественное образование левого яичника, осложненное старым ППМ слева. Принято решение об оперативном лечении.

Пациентке выполнили операцию лапароскопическим методом. Интраоперационно при ревизии органов брюшной полости и малого таза обнаружен старый перекрут левых придатков матки на 360° вокруг собственной оси в диаметре до 8 см (рис. 3). Правые придатки матки без особенностей. Тело матки нормального размера с серозным блестящим покровом. В связи с нежизнеспособностью левых придатков матки принято решение о выполнении аднексэктомии слева. Некротизированное образование извлечено из брюшной полости в эндобаге. Макропрепарат: стенка конгломерата гладкая, синюшно-черного цвета, содержимое представляет собой сгустки старой крови (рис. 4).

Послеоперационный период протекал без особенностей. Пациентка была выписана в удовлетворительном состоянии на третьи сутки после оперативного вмешательства.

Клинический случай 2

Пациентка В., 13 лет, в сентябре 2024 г. начала испытывать боль в нижней части живота, без иррадиации, тошноты и рвоты. Пациентка не обращалась за медицинской помощью и самостоятельно принимала ибупрофен 400 мг, Фосфалюгель (алюминия фосфат) 16 г однократно, дротаверин 40 мг однократно, Слабилен (натрия пикосульфат) 5 мг однократно и лоперамид 2 мг однократно, однако болевой синдром не купировался.

Пациентка и ее родители обратились в хирургическое отделение областной больницы по месту жительства. При осмотре и пальпации признаков острой хирургической патологии не выявлено.

На следующий день боль внизу живота усилилась, появилась однократная рвота. Бригадой скорой медицинской помощи пациентка госпитализирована в хирургическое отделение областной больницы для дальнейшего обследования и лечения.

По данным УЗИ ОМТ, выполненного в стационаре, выявлено объемное образование в области малого таза. МРТ ОМТ показала кистозно-солидное образование в правом яичнике с геморрагическим компонентом и мультифолликулярную структуру левого яичника (рис. 5). Анализы крови на онкомаркеры были в пределах возрастной нормы. Врачи приняли решение направить пациентку в РДКБ – филиал РНИМУ им. Н.И. Пирогова для дальнейшего обследования и лечения.

Результаты гинекологического осмотра в РДКБ: оволосение по женскому типу, клитор не гипертрофирован, слизистая оболочка вульвы розового цвета, выделения светлые и слизистые. При ректоабдоминальном обследовании пальпировалось образование диаметром до 10 см, тугоэластическое, умеренно подвижное, болезненное. Данные УЗИ ОМТ: матка в anteflexio размером 45 × 32 × 38 мм, шейка – 32 × 24 мм, структура миометрия однородная. Размер правого яичника 39 × 23 × 26 мм, мультифолликулярное строение. Визуализируется образование неоднородной структуры размером 96 × 75 × 86 мм, вероятно исходящее из левого яичника. Заключение: доброкачественное новообразование левого яичника. Дифференциальная диагностика проводилась со старым перекрутом левых придатков матки. Было принято решение об оперативном вмешательстве путем лапароскопии.

Интраоперационно обнаружен мягкий перекрут правых придатков матки на 180° вокруг собственной оси с вовлечением правого яичника за счет округлого образования диаметром до 12 см (рис. 6). Левые придатки матки без особенностей. Тело матки нормального размера, серозный покров гладкий, блестящий.

С помощью зажимов проведены деторсия правых придатков матки и цистэктомия справа с использованием биполярной коагуляции (рис. 7). Удаленное образование извлечено из брюшной полости в эндобаге. Макропрепарат: cтенка кисты гладкая, содержимое прозрачное.

Послеоперационный период протекал без осложнений. Пациентка выписана в удовлетворительном состоянии на третьи сутки после оперативного вмешательства.

Обсуждение

Перекрут придатков матки представляет собой сложную диагностическую задачу, особенно в детском возрасте, поскольку клинические проявления могут варьировать от умеренной боли в животе до острых хирургических состояний. УЗИ, будучи доступным и неинвазивным методом, играет ключевую роль в определении ППМ. Кроме того, при ППМ могут развиться ишемия и асептический некроз тканей. В связи с этим крайне важно своевременно и точно диагностировать данное заболевание. Хирургическая тактика при неосложненном или мягком (нетугом) перекруте и при массивном некрозе придатков различна.

Представленные клинические случаи подчеркивают необходимость междисциплинарного подхода к ведению пациенток. Педиатры, хирурги и детские гинекологи должны работать совместно, направляя усилия на анализ симптоматики и своевременное проведение диагностических исследований.

Улучшение исходов лечения детей с ППМ, снижение риска диагностических ошибок и повышение качества жизни пациенток невозможны без совершенствования как протоколов лечения, так и диагностических навыков у медицинского персонала.

Диагностика и лечение

Для диагностики ППМ необходимо прежде всего собрать подробный анамнез, провести физикальное и ректоабдоминальное исследование, инструментальную и лабораторную диагностику.

При сборе анамнеза следует обращать внимание на время возникновения боли и ее характер, наличие тошноты и рвоты, температуру тела. Частота встречаемости болевого синдрома при ППМ достаточно высока – 70–90%. Субфебрильная температура отмечается значительно реже – в 2–20% случаев. Среди симптомов ППМ на долю тошноты и рвоты приходится 30–50% [10]. Болевой синдром напрямую связан с длительностью ишемии придатков матки и, как правило, сопровождается тошнотой [11]. Температура тела у некоторых пациенток может повышаться до субфебрильных цифр, но это не является прогностическим признаком.

При физикальном обследовании определяется болезненность при пальпации. Необходимо учитывать, что боль не всегда локализуется в проекции ППМ, иногда носит диффузный характер, что более специфично для детского возраста [11–13]. В ходе ректоабдоминального обследования можно пропальпировать объемное образование в проекции придатков матки [11, 12, 14].

УЗИ ОМТ характеризуется высокой специфичностью и чувствительностью, но единых УЗ-критериев для постановки диагноза ППМ не существует.

Если при УЗИ ОМТ визуализируются увеличение размеров яичника на стороне перекрута, опухолевидное образование в проекции яичника, а также смещение яичника книзу от матки, следует заподозрить ППМ [11]. При визуализации свободной жидкости в брюшной полости необходимо подумать о некрозе яичника. Наличие свободной жидкости также может свидетельствовать о физиологической реакции на болевой синдром [15, 16]. Чаще всего при ППМ результаты УЗИ ОМТ указывают на анэхогенное образование в полости малого таза с отсутствием визуализации яичника или придатка с соответствующей стороны [8]. Важно помнить, что при допплерографическом исследовании отсутствие кровотока не является определяющим признаком ППМ [8, 17].

Компьютерная томография (КТ) ОМТ и МРТ ОМТ являются дополнительными методами инструментальной диагностики. КТ ОМТ – неспецифический маркер, проводить это исследование при диагностике данного заболевания не стоит. В свою очередь МРТ ОМТ удлиняет время диагностического поиска, что может привести к некрозу придатков матки.

Золотым стандартом диагностики ППМ признана диагностическая лапароскопия. Она удачно сочетает в себе возможности как более детальной диагностики характера и местоположения образования, которое вызвало перекрут, так и удаления его эндоскопическим путем [18, 19].

При лабораторном исследовании крови можно наблюдать лейкоцитоз (20–30 × 109/л) и незначительное увеличение скорости оседания эритроцитов [18]. Иногда повышается уровень С-реактивного белка [13]. Патогномоничных маркеров для лабораторной диагностики ППМ на данный момент не существует [8, 20, 21]. Если при проведении УЗИ ОМТ в области новообразования визуализируются перегородки и/или анэхогенные и гетерогенные включения, целесообразно оценить уровни онкомаркеров (СА-125, альфа-фетопротеин и хорионический гонадотропин человека), которые при онкологическом процессе могут быть повышены [22, 23].

Таким образом, пренебрежение гинекологическим анамнезом, отсутствие дооперационного УЗИ ОМТ и онкологической настороженности влекут за собой диагностические ошибки при ППМ [24].

Поскольку ППМ относится к хирургической патологии, требующей экстренного вмешательства, исход операции напрямую зависит от времени постановки диагноза и начала лечения [7]. После появления первых клинических признаков жизнеспособность придатков постепенно снижается вследствие ишемии [1, 6]. Отметим, что у яичника имеется механизм компенсации окклюзионного процесса – двойное кровоснабжение из двух разных артерий [25]. Скорость развития ишемии и последующего некроза зависит от вида перекрута. При тугом перекруте ишемия придатков развивается значительно быстрее, чем при мягком (нетугом) [1].

В настоящее время предпочтение отдается лапароскопическому методу.

Интраоперационно необходимо провести ревизию органов малого таза и осмотреть придатки для оценки перекрута и определения лечебной тактики.

В случае тугого перекрута наблюдаются явные признаки некроза придатков матки: изменение и потеря анатомических контуров, багрово-синюшный, а иногда и черный цвет. При обнаружении этих признаков необходимо провести аднексэктомию.

Если при осмотре придатков матки визуализируется сохранение анатомических контуров с выраженным отеком и темно-розовым цветом, целесообразно придерживаться органосохраняющей тактики, поскольку перекрут нетугой. Сегодня используется методика деторсии ротированной структуры [26, 27]. После раскручивания придатка матки сохраняется выраженный отек яичника, который можно ошибочно принять за кистозный компонент. В случае находки объемного образования в проекции яичника необходимо провести цистэктомию [28]. По данным исследований, после деторсии ротированного придатка матки яичник сохраняет свою функцию [29, 30].

Лапаротомия тоже может использоваться при ППМ, но только при подозрении на малигнизацию процесса. Об этом свидетельствуют бугристая структура конгломерата, папиллярные разрастания, выпот в брюшной полости и наличие метастазов [31, 32].

Заключение

Представленные клинические случаи подтверждают сложность диагностики и лечения ППМ. Нередко диагноз остается нераспознанным, что может привести к серьезным последствиям. Своевременное обращение девочек с абдоминальным болевым синдромом к детским гинекологам крайне важно в аспекте более точной диагностики и адекватной тактики лечения.

  • КЛЮЧЕВЫЕ СЛОВА: перекрут придатков матки, клинический случай, девочки, подростки, новообразования яичников, органосохраняющая операция, аднексэктомия
1. Adeyemi-Fowode O., McCracken K.A., Todd N.J. Adnexal torsion. J. Pediatr. Adolesc. Gynecol. 2018; 31 (4): 333–338.
2. Адамян Л.В., Сибирская Е.В., Короткова С.А. и др. Перекрут матки в гинекологии детей и подростков (редчайший случай в клинической практике). Проблемы репродукции. 2021; 27 (2): 84–89.
3. Селихова М.С., Яхонтова М.А., Зверева Е.С., Калачева Л.С. Опыт применения органосохраняющего подхода при перекруте придатков матки у девочек-подростков. РМЖ. Мать и дитя. 2024; 7 (1): 45–50.
4. Чебан О.С., Слепуха Н.В., Демидова Т.В., Вырныгора И.Г. Перекрут яичников у девочек подросткового возраста: важность своевременной диагностики и коррекции. Репродуктивное здоровье детей и подростков. 2024; 20 (2): 78–84.
5. Окунев Н.А., Окунева А.И., Бегоулова Е.Г. и др. Перекрут придатков матки у детей. Российский вестник детской хирургии, анестезиологии и реаниматологии. 2020; 10 (1): 69–74.
6. Серов В.Н., Сухих Г.Н., Савельева Г.М. Акушерство и гинекология. Клинические рекомендации. М.: ГЭОТАР-Медиа, 2019.
7. Сибирская Е.В., Адамян Л.В., Яцык С.П., Гераськина С.Г. Абдоминальный болевой синдром у девочек при опухолях и опухолевидных образованиях придатков матки. Российский педиатрический журнал. 2015; 18 (3): 54–59.
8. Адамян Л.В., Дьяконова Е.Ю., Сибирская Е.В. и др. Хирургическая тактика при перекруте придатков матки у детей. Репродуктивное здоровье детей и подростков. 2014; 4 (57): 35–41.
9. Адамян Л.В., Богданова Е.А., Глыбина Т.М. и др. «Острый живот» у девочек при опухолях и опухолевидных образованиях придатков матки. Проблемы репродукции. 2014; 20 (6): 49–53.
10. Gharib A., Carpenter C.R. Ovarian torsion. In: Pines J.M., Raja A.S., Bellolio F., Carpenter C.R. (eds.) Evidence‐based emergency care: diagnostic testing and clinical decision rules. Wiley, 2023; 489–496.
11. Marcinkowski K., Saul D., Gould S., et al. Application of a composite score to predict adnexal torsion in premenarchal and menarchal children and adolescents. J. Pediatr. Surg. 2024; 59 (3): 509–514.
12. Морозов А.М., Сергеев А.Н., Жуков С.В. и др. О возможности использования шкал боли в условиях стационара. Современные проблемы науки и образования. 2020; 4: 148–148.
13. Awal S., Regmi P.R., Prajapati N. Not every twist is ovarian torsion: a case report of isolated torsion of the fallopian tube in a child. Ann. Med. Surg. 2023; 85 (8): 4142–4144.
14. Sivapragasam V., Gopinath K.R., Manjappa A.A. Adnexal torsion in adolescents: a case series. Journal of South Asian Federation of Obstetrics and Gynecology. 2023; 14 (6): 639–643.
15. Garde I., Paredes C., Ventura L., et al. Diagnostic accuracy of ultrasound signs for detecting adnexal torsion: systematic review and meta-analysis. Ultrasound Obstet. Gynecol. 2023; 61 (3): 310–324.
16. Bardin R., Perl N., Mashiach R., et al. Prediction of adnexal torsion by ultrasound in women with acute abdominal pain. Ultraschall Med. 2020; 41 (6): 688–694.
17. Meyer R., Meller N., Mohr-Sasson A., et al. Clinical features of isolated Fallopian tube torsion: evidence from a large series. Hum. Fertil. (Camb.). 2023; 26 (5): 971–977.
18. Адамян Л.В., Сибирская Е.В., Колтунов И.Е. и др. Опухоли и опухолевидные образования придатков матки в практике детского гинеколога. Детская хирургия. 2016; 20 (6): 320–323.
19. Павленко Н.И., Писклаков А.В., Дука М.В. и др. Особенности клинической картины, диагностики и лечения при перекруте придатков матки у детей. Репродуктивное здоровье детей и подростков. 2024; 20 (1): 74–82.
20. Бебенина А.А., Чундокова М.А., Голованев М.А. Перекрут придатков матки у девочки 12 лет. Детская хирургия. 2021; 25 (3): 220–223.
21. Ostrowski P., Bonczar M., Michalczak M., et al. The anatomy of the uterine artery: a meta-analysis with implications for gynecological procedures. Clin. Anat. 2023; 36 (3): 457–464.
22. Lertkhachonsuk A.A., Buranawongtrakoon S., Lekskul N., et al. Serum CA19-9, CA-125 and CEA as tumor markers for mucinous ovarian tumors. J. Obstet. Gynaecol. Res. 2020; 46 (11): 2287–2291.
23. Lee T., Teng T.Z.J., Shelat V.G. Carbohydrate antigen 19-9 – tumor marker: past, present, and future. World J. Gastrointest. Surg. 2020; 12 (12): 468–490.
24. Адамян Л.В., Богданова Е.А., Глыбина Т.М., Сибирская Е.В. Абдоминальный синдром у детей и подростков вследствие гинекологической патологии. Ошибки диагностики и лечения. Акушерство и гинекология. 2012; 2: 96–101.
25. Netter F.H. Netter Atlas of Human Anatomy: Classic Regional Approach-Ebook. Elsevier Health Sciences, 2022.
26. Chang-Patel E.J., Wong J.M.K., Gould C.H., Demirel S. Adnexal torsion: a review of diagnosis and management strategies. Curr. Opin. Obstet. Gynecol. 2022; 34 (4): 196–203.
27. Chaykivska E., Gyzha L., Pereyaslov A., Nykyforuk O. Our experience in diagnosis and treatment of children with adnexal torsion. Translational & Clinical Medicine – Georgian Medical Journal. 2024; 9 (1): 23–27.
28. Козлов Ю.А., Полоян С.С., Марчук А.А. и др. Использование ICG-навигации при органосохраняющих резекциях тератом яичников у детей. Российский вестник детской хирургии, анестезиологии и реаниматологии. 2023; 13 (2): 237–246.
29. Harkins G. Ovarian torsion treated with untwisting: second look 36 hours after untwisting. J. Minim. Invasive Gynecol. 2007; 14 (3): 270.
30. Aziz D., Davis V., Allen L., Langer J.C. Ovarian torsion in children: is oophorectomy necessary? J. Pediatr. Surg. 2004; 39 (5): 750–753.
31. Адамян Л.В., Сибирская Е.В., Богданова Е.А. и др. Клиника и диагностика доброкачественных опухолей и опухолевидных образований яичников у девочек (аналитический обзор). Репродуктивное здоровье детей и подростков. 2016; 4 (69): 18–26.
32. Сибирская Е.В., Шарков С.М., Шостенко А.В., Медведева А.О. Злокачественные новообразования яичников у детей и подростков. Детская хирургия. 2018; 22 (5): 258–262.
Adnexial Torsion in Children: Diagnostic Complexities of a ‘Chameleon Disease’

Ye.V. Sibirskaya, PhD, Prof., P.O. Nikiforova, I.A. Melenchuk, M.S. Shirinyants, R.P. Bilchenko 

Russian Children’s Clinical Hospital – a Branch of N.I. Pirogov Russian National Research Medical University
N.I. Pirogov Russian National Research Medical University 
Russian University of Medicine
Peoples' Friendship University of Russia

Contact person: Polina O. Nikiforova, pol_nikiforova@mail.ru

Uterine appendage torsion is an urgent condition in gynecology in which complete or partial torsion of the ovary and/or fallopian tube occurs, accompanied by a violation of arterial blood supply. As a rule, ovarian torsion is associated with a tumor-like formation. But the causes of twisting of the uterine appendages may also be anatomical features of the location of the ovaries in children, excessive length of the ligamentous apparatus of the pelvis, intense physical exertion. The scientific publications published in the databases PubMed, Cochrane Library and Google Scholar are analyzed. The main focus is on studies that examined the prevalence, diagnostic methods, and clinical manifestations of uterine appendage torsion. The clinical observations presented in the article emphasize the variety of manifestations of the disease and the importance of an individual approach to diagnosis and treatment. In the first case, the ‘old twist’ led to an adnexectomy due to missed time in diagnosis and irreversible ischemia of the uterine appendages. The second case demonstrated the possibility of organ-preserving treatment with early detection and mild torsion of the uterine appendages. 
ИНСТРУМЕНТЫ